La maîtrise des principes de base de la biologie de bivalves est nécessaire pour comprendre les différentes étapes qui composent un élevage des mollusques et pouvoir résoudre les problèmes qui lui sont liés. Le présent chapitre n'est pas un recueil détaillé de biologie des bivalves, mais plutôt un résumé d'informations pertinentes concernant les opérations d'élevage en écloserie. Des ouvrages de qualité relatifs à la biologie des mollusques sont nombreux et disponibles, ainsi que des revues spécialisées par groupes d'espèces et espèces, comme les huîtres, les pectinidés, les moules et palourdes. Des références bibliographiques figurent en fin de ce chapitre.
Les bivalves appartiennent au phylum des mollusques. Ce dernier est constitué d'animaux divers comme les chitons ou polyplacophores (plusieurs plaques), les gastéropodes, les dentales, les céphalopodes (calamars, poulpe, etc.), ainsi que les palourdes, huîtres et pectinidés. Ce phylum contient six classes, dont celle des Lamellibranches ou des Bivalves. Ces animaux sont comprimés latéralement et les parties molles de leurs corps sont partiellement ou intégralement couvertes par la coquille. Celle-ci est composée de deux valves liées par une charnière. Les branchies (dites aussi cténidies) de ces bivalves sont des organes bien développés, assurant une double fonction: l'alimentation et la respiration.
Les deux valves constituent la caractéristique la plus importante de la classe des bivalves. Ces deux valves, qui peuvent être symétriques ou asymétriques, sont à l'origine de la formation de la coquille et peuvent couvrir la totalité ou une partie du corps mou de l'animal. Selon les espèces, elles présentent une variété de forme et de couleur. Les valves sont constituées essentiellement de carbonate de calcium et contiennent trois couches, une couche interne ou nacrée, une couche intermédiaire ou prismatique qui forme la grande partie de la coquille, et une couche externe brunâtre ou périostracum, qui est souvent absente à cause des altérations liées aux frottements et usures affectant les vieux animaux.
Les bivalves ne possèdent pas de parties évidentes indiquant la tête et la queue. Cependant, les termes utilisés en anatomie décrivant ces parties chez d'autres animaux, sont appliqués aux bivalves. Le crochet ou la charnière, où les valves sont jointes, est la partie dorsale de l'animal (figure 6). La partie opposée est dite ventrale. Chez les espèces où le siphon est bien développé (palourde), le pied se trouve dans la partie antérieure - ventrale et les siphons sont localisés dans la partie postérieure (figure 7).

Figure 6: Caractères externes et internes des valves du clam Mercenaria mercenaria. Modifié de Cesari et Pellizzato, 1990.

Figure 7: Anatomie interne du corps mou de la palourde du genre Tapes. Dans cette vue, la partie supérieure des lamelles branchiales a été enlevée pour faire apparaître le pied et les tissus adjacents. Modifié à partir de Cesari et Pellizzato, 1990.
Chez les huîtres, la partie antérieure se trouve au niveau de la charnière et chez la coquille Saint- Jacques, elle se trouve à l'endroit où la bouche et le pied, qui est rudimentaire, sont localisés.
L'enlèvement précautionneux de l'une des valves révèle la partie molle de l'animal. Les différences d'apparences générales entre une huître et un pétoncle sont présentées dans la figure 8.

Figure 8: Anatomie du corps mou de l'huître plate européenne, Ostrea edulis, et du pétoncle calico, Argopecten gibbus, visible après l'enlèvement de l'une des deux valves. Clé: MA - muscle adducteur; B - branchies; GO - gonades (différentiées comme O - ovaire et T - testicule dans le pétoncle calico); L - ligament; M - manteau et U - umbo ou crochet. Les chambres inhalantes et exhalantes de la cavité du manteau ont été identifiées comme CI et CE respectivement.
Manteau
Le corps mou est couvert par le manteau, qui est composé de deux membranes de tissus fins, et épais sur les bords. Les deux moitiés du manteau sont attachées à la coquille à partir de la charnière ventrale et s'étend jusqu'à la cavité palléale. Cependant, elles sont libres au niveau des bords. Les bords épais peuvent être pigmentés ou non et contiennent trois bourrelets. Le bord du manteau possède souvent des tentacules; chez les palourdes les tentacules se trouvent à la pointe du siphon. Chez les espèces tels les pectinidés, le bord du manteau possède non seulement des tentacules mais aussi plusieurs organes sensibles à la lumière-yeux (figure 9).
Outre la sécrétion des valves qui constitue la fonction principale du manteau, ce dernier assure d'autres tâches. Il a une fonction sensorielle et initie la fermeture des valves en réponse à des conditions défavorables du milieu environnant. Il peut contrôler le débit d'eau entrant et, de plus, a une fonction respiratoire. Chez des espèces telles les pectinidés, il contrôle le débit de l'eau entrant et sortant du corps de l'animal et par conséquent le mouvement de l'animal au moment de son déplacement (nage).
Muscles adducteurs
L'enlèvement du manteau montre les traces du corps mou, une caractéristique proéminente qui permet la distinction entre les espèces ayant deux muscles adducteurs dites dimyaires (palourdes et moules) et les espèces monomyaires possédant un seul muscle (huîtres et pectinidés). Chez les palourdes et moules, les deux muscles adducteurs sont localisés à proximité des bords antérieurs et postérieur des valves de la coquille. Alors que chez les huîtres et pectinidés, le seul grand muscle qui existe est localisé au centre de la valve. Le muscle ferme les valves et agit contrairement au ligament et au resilium, qui entraînent l'ouverture des valves au moment du relâchement des muscles. Dans les espèces monomyaires les divisions du muscle adducteur sont visibles. La grande portion antérieure (striée) du muscle est appelée «muscle rapide» et se contracte pour fermer les valves; la plus petite partie, partie lisse, appelée «muscle lent», maintient les valves en position quand elles se sont fermées entièrement ou partiellement. Certaines espèces qui vivent enfouies dans le substrat (par exemple les palourdes) nécessitent une pression externe pour aider les valves à rester fermées. En effet, les muscles s'affaiblissent et les valves s'ouvrent si elles sont gardées dans un bac à l'extérieur du substrat.

Figure 9: Anatomie de la partie interne du corps mou d'un pectinidé hermaphrodite.
Branchies
Les branchies ou cténidies sont une caractéristique majeure des lamellibranches. Elles consistent en de grands organes en feuillets opérant deux séries de phénomènes, la respiration et la filtration de la nourriture à partir de l'eau. Deux paires de branchies sont localisées sur chaque côté du corps. A l'extrémité de la partie antérieure, deux paires de palpes labiaux entourent la bouche et entraînent la nourriture vers la bouche.
Pied
A la base de la masse viscérale se trouve le pied. Dans des espèces, telles que les palourdes le pied est un organe bien développé dont l'animal se sert pour s'enfouir dans le substrat et à se maintenir dans une position donnée. Chez les pectinidés et les moules, il est moins développé et peu utile à l'âge adulte mais, pendant les stades larvaire et juvénile, cet organe joue un rôle important et assure la locomotion. Chez les huîtres, le pied est rudimentaire. La glande byssogène débouche en position médiane au niveau du pied à partir de laquelle l'animal secrète une substance élastique sous forme de filaments appelés byssus, qui servent à attacher l'animal au substrat. Ceci est important pour des espèces telles que les moules et certains pectinidés car ils permettent à l'animal de s'ancrer.
Système digestif
Les particules filtrées par les branchies ou cténidies sont entraînées vers les palpes labiaux, qui entourent la bouche. La nourriture est triée et acheminée vers la bouche. Les bivalves sont capables de sélectionner leur nourriture à partir de l'eau filtrée. Les bols alimentaires, enrobés de mucus, dirigés vers la bouche sont parfois rejetés par les palpes et expulsés par l'animal en tant que pseudo-fèces. Un oesophage minuscule relie la bouche à l'estomac qui se présente sous forme de sac creux avec plusieurs sorties. L'estomac est entièrement entouré par une glande digestive appelée diverticulum; il s'agit d'une masse de tissus noirs, qui est fréquemment appelée «foie». Une ouverture au niveau de l'estomac mène à l'intestin particulièrement sinueux qui se prolonge jusqu'au pied chez la palourde et, jusqu'à la gonade, chez les pectinidés pour déboucher sur le rectum et éventuellement l'anus. Une autre ouverture de l'estomac débouche sur une poche close tubulaire renfermant le stylet cristallin. Ce dernier consiste en une tige libre gélatineuse pouvant atteindre 8 cm de longueur chez certaines espèces. Il est arrondi d'un côté et pointu de l'autre. Le côté rond empiète sur le bouclier gastrique dans l'estomac. On pense qu'il participe au mélange de la nourriture dans l'estomac et à la sécrétion d'enzymes qui facilitent la digestion. Le stylet est composé de couches de mucoprotéines, qui libèrent des enzymes digestives pour convertir l'amidon en sucres digestibles. Si les bivalves sont émergés pendant quelques heures, le stylet cristallin se réduit et peut disparaître, mais il se reconstitue rapidement quand l'animal est remis dans l'eau.
Système circulatoire
Les bivalves possèdent un système circulatoire simplifié mais assez difficile à localiser. Le coeur se trouve dans un sac transparent, le pericardium ou cavité péricardique, qui est proche du muscle adducteur chez les espèces monoïques. Il consiste en deux oreillettes de forme irrégulière et un ventricule. Les aortes antérieures et postérieures pompent dans le ventricule et transportent le sang à tous les organes du corps. Le système veineux est une ramification diffuse de sinus à fines parois à travers lesquels le sang retourne au coeur.
Système nerveux
Le système nerveux est difficile à observer sans une préparation préalable. Il consiste essentiellement en trois paires de ganglions (les ganglions cérébraux, les ganglions pédieux et les ganglions viscéraux).
Système urogénital
Les sexes chez les bivalves peuvent être séparés (dioïque) ou hermaphrodites (monoïque). La gonade peut être saillante et constitue un organe bien défini, comme chez les pectinidés ou occupe une portion importante de la masse viscérale comme chez la palourde. La gonade n'est généralement visible qu'en saison de reproduction, chez l'huître où elle peut occuper jusqu'à 50 pour cent du volume corporel. Chez certaines espèces comme les pectinidés, les sexes peuvent être distingués à l'oeil nu, quand la gonade est remplie, car la gonade mâle est blanche et celle de la femelle rouge. Ceci reste vrai chez les espèces hermaphrodites. La coloration des gonades peut permettre la différentiation des sexes chez certaines espèces telles que les moules. Chez d'autres espèces, l'examen microscopique de la gonade est nécessaire pour déterminer le sexe de l'animal. Un petit degré d'hermaphrodisme peut être décelé chez les espèces dioïques.
La protandrie et l'inversion sexuelle peuvent se reproduire chez les bivalves. Chez certaines espèces il y a prédominance de mâles chez les individus de petites tailles indiquant que les mâles se développent sexuellement avant les femelles ou que certains animaux matures tout d'abord en tant que mâles et se transforment en femelles en grandissant. Chez certaines espèces, par exemple, l'huître plate européenne, Ostrea edulis, l'animal peut pondre, à l'origine, en tant que mâle durant une saison, puis remplit la gonade d'ufs et peut pondre une deuxième fois au cours de la saison en tant que femelle.
Le système rénal est difficile à observer chez certains bivalves mais il est décelable chez certaines espèces comme les pectinidés où les deux reins sont de petites tailles et de couleur brune, formant des sacs aplatis contre la partie antérieure du muscle adducteur. Les reins se vident dans la cavité du manteau à travers de larges fentes. Chez les pectinidés, les ufs et le sperme provenant des gonades sont évacués au moyen de conduits dans la lumière du tube rénal puis dans la cavité du manteau.
Chez la majorité des bivalves, la maturité sexuelle dépend beaucoup plus de la taille que de l'âge, et la taille atteinte à la maturité sexuelle dépend des espèces et de leur distribution géographique. La production des ufs et du sperme est appelée gamétogenèse et la taille du bivalve associée à la température, la quantité et la qualité de la nourriture sont sans doute des éléments importants pour l'initiation de ce processus. La gonade est composée de plusieurs conduits, ciliés et ramifiés, à partir desquels de nombreux sacs appelés follicules, s'ouvrent. Les gamètes se forment à partir des cellules germinales qui s'alignent le long des parois des follicules. La gonade continue à se développer jusqu'à qu'elle devienne entièrement mature mais ce développement a été divisé en plusieurs stades par convenance, par exemple, phase de repos sexuel, de développement, de maturité, de ponte partielle, et de ponte. Quand les gonades ou tissus gonadiques sont complètement matures elles sont visibles et représentent une partie assez significative du corps mou de l'animal. Les gonoductes qui vont transporter les gamètes jusqu'à la cavité palléale, se développent, s'élargissent et deviennent facilement visibles dans la gonade. A ce moment l'animal est alors considéré comme mature.
Différentes méthodes ont été utilisées pour déterminer si un bivalve est mature et prêt à pondre. La méthode la plus précise consiste en des coupes histologiques des gonades (figure 10) mais cette approche est coûteuse, chronophage et destructive, l'animal devant être sacrifié. Faire un frottis de gonades ou des biopsies de gonade sur quelques individus du stock et les examiner au microscope est une alternative et constitue la technique la plus utilisée. Chez les pectinidés, l'index gonadique (poids de la gonade divisé par le poids du corps mou, multiplié par 100) est parfois utilisé. Une procédure stricte est généralement appliquée en écloserie pour le conditionnement des adultes et leur préparation à la ponte. Avec la pratique, la plupart des gérants d'écloserie développent rapidement une capacité à déceler l'état de maturité de l'animal et son aptitude à pondre en examinant seulement les gonades à l'oeil nu.

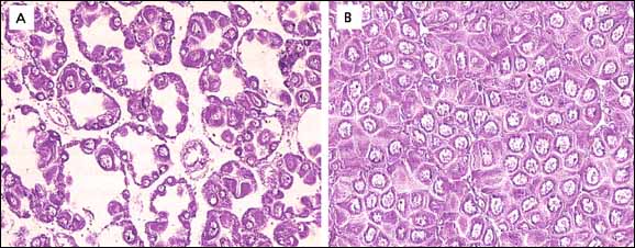
Figure 10: Microphotographies de coupes histologiques de l'ovaire du pétoncle, Argopecten gibbus, durant la gamétogenèse. A gauche (A), des ufs en développement peuvent être vus sur les parois de nombreux follicules. La photo de droite (B) montre des follicules remplis d'ufs matures (avec l'aimable autorisation de Cyr Couturier et Samia Sarkis).
Les bivalves qui atteignent la taille de maturité sexuelle et qui pondent pour la première fois sont parfois considérés comme vierges. Même si ces animaux atteignent la maturité sexuelle, le nombre de gamètes produits est limité et parfois les gamètes ne sont pas tous viables. Au cours des pontes ultérieures, le nombre des gamètes produits augmente significativement.
La période de ponte chez les populations naturelles varie selon les espèces et leur distribution géographique. La ponte peut être déclenchée par plusieurs facteurs environnementaux à savoir la température, les stimuli chimiques et physiques, les courants d'eau ou une combinaison de tous ces paramètres et autres facteurs. La présence de sperme dans l'eau déclenchera la ponte chez d'autres animaux de la même espèce. Certains bivalves qui vivent dans les tropiques possèdent des gamètes matures tout au long de l'année et des pontes limitées peuvent se produire de manière continue durant toute l'année. Dans les zones tempérées, la ponte est souvent limitée à une période particulière de l'année. Plusieurs bivalves déclenchent une ponte massive et la période de ponte peut être brève. Tout le contenu de la gonade a été pratiquement émis pendant une courte période au cours de la saison de reproduction. D'autres espèces de bivalves ont une période de ponte prolongée qui peut s'étendre pendant plusieurs semaines. Ces espèces sont parfois considérées comme «dribble spawners» en anglais, (des reproducteurs au goutte à goutte). Une ponte limitée survient pendant une période prolongée qui se caractérise par un ou deux pics de plus grande intensité. Chez certaines espèces, il peut y avoir plus d'une ponte marquée par an. Chez les espèces hermaphrodites, la ponte est programmée de manière à ce que les gonades mâle ou femelle émettent en premier. Ceci réduit les possibilités d'autofécondation.
Chez la plupart des espèces de bivalves, d'intérêt commercial, les gamètes sont libérés dans le milieu extérieur où la fécondation aura lieu. Le sperme est libéré sous forme d'un mince filet à travers une ouverture exhalante ou un siphon exhalant. La libération des ufs est plus intermittente; ils sont émis sous forme de nuages à partir d'une ouverture exhalante ou siphon. Chez les espèces telles que les pectinidés ou les huîtres, l'émission des ovules est accompagnée de contractions rythmiques des valves qui permettent d'expulser les ufs des branchies. Après la ponte, les gonades sont vides chez de nombreuses espèces, et il est donc impossible de distinguer macroscopiquement les sexes des individus. L'animal est alors considéré être en phase de repos sexuel. Chez les espèces qui présentent une ponte continue, la gonade est rarement vide.
Certains bivalves, par exemple, l'huître plate européenne, sont larvipares et les premiers stades de développement larvaire se déroulent dans la chambre inhalante de la cavité palléale de la femelle de l'huître. Les ufs émis passent à travers les branchies et sont par la suite maintenus dans la chambre palléale. Le sperme est introduit à travers l'ouverture inhalante. La période pendant laquelle les larves sont maintenues dans cette cavité du manteau et ultérieurement le temps pendant lequel les larves libres flottent à la surface de l'eau varient selon les espèces. Chez certains genres, par exemple, Tiostrea, les larves ne constituent une partie du plancton que durant un seul jour.
Occasionnellement et particulièrement dans les zones tempérées, la ponte peut ne pas se produire certaines années. Ceci peut résulter de plusieurs facteurs mais reste en grande partie lié à la température de l'eau, qui reste trop basse pour induire la ponte. Quand ce phénomène se reproduit chez les huîtres, les ufs et le sperme peuvent être réabsorbés par le tissu gonadique, dégradés et stockés en tant que glycogène. Chez les palourdes et pectinidés, la gonade peut rester mature jusqu'à la prochaine année.
Ces sujets sont discutés plus en détail dans les paragraphes ultérieurs, mais une description brève est présentée dans ce chapitre pour sa continuité. Le développement larvaire est similaire, quel que soit le développement initial qu'il se reproduise dans la cavité palléale de la femelle, ou en totalité en milieu ouvert environnant.
Les ufs vont subir une division méiotique à la fécondation pour réduire le nombre de chromosomes en nombre haploïde avant que les pronucléus mâle et femelle fusionnent pour former le zygote. Deux globules polaires sont ainsi formés durant la division méiotique et quand ils apparaissent, ils indiquent la réussite de la fécondation. La division cellulaire commence et trente minutes après la fécondation, l'oeuf se divise en stade de deux cellules. Les ufs sont plus denses que l'eau et sédimentent au fond du bac où la division cellulaire continue.
Le temps consacré à la phase embryonnaire et au développement larvaire est propre à chaque espèce et dépend de la température (figure 11). En vingt quatre heures l'oeuf fécondé a passé le stade multicellulaire appelé blastula et le stade gastrula et vingt quatre heures et trente six heures plus tard, elle se transforme en trochopore mobile. Les trochopores présentent une forme plus ou moins ovale, une taille d'environ 60-80 mm et possèdent une rangée de cils en position équatoriale et sont dotés d'un long flagellum apical qui leur permette de nager.

Figure 11: Représentation des différents stades de développement chez le pétoncle calico, Argopecten gibbus, obtenus en écloserie. La durée entre les différents stades est exprimée en heures ou jours pour cette espèce particulière et peut être différente pour les autres espèces de bivalves.
Le premier stade larvaire, la Prodissoconque I, est caractérisé par une forme en D majuscule d'où son appellation larve «D». Elle présente une charnière droite, et sa longueur initiale variant selon les espèces est généralement de 80-100 mm (plus grande chez les huîtres larvipares). La larve présente deux valves, un système digestif complet et un organe particulier le velum spécifique des larves de bivalves. Le velum présente une forme circulaire et peut être saillant entre les deux valves. Il s'agit d'une sorte de voile ciliée le long de sa marge externe. Cet organe permet aux larves de nager mais assez seulement pour pouvoir se maintenir dans la colonne d'eau. Quand les larves nagent dans la colonne d'eau, le velum collecte le phytoplancton sur lequel se nourrissent les larves.
Les larves continuent à nager, à s'alimenter et à croître durant une semaine à l'issue de laquelle un crochet ou umbo se forme sur la charnière, sous forme de protubérances au niveau de la coquille. Comme la larve continue à croître, l'umbo devient plus proéminent et la larve est dite umbonée et atteint le stade Prodissoconque II. A ce stade, les larves présentent des formes distinctes et avec l'expérience il est possible d'identifier les larves appartenant à différentes espèces de bivalves dans le plancton. Ceci a été utilisé par des biologistes pour prévoir le captage des huîtres en milieu naturel pour les besoins de la conchyliculture. La durée du développement larvaire varie selon les espèces et les facteurs environnementaux tels que la température mais elle est généralement de 18-30 jours. La taille à la maturité larvaire varie aussi selon les espèces et peut être de 200-330 mm.
Quand la larve s'approche de la maturité, le pied se développe et une ébauche branchiale devient évidente. De petites taches circulaires noires, appelées taches ocellaires ou yeux se développent au centre de chaque valve chez certaines espèces. Entre les périodes de nage, les larves se fixent et utilisent le pied pour ramper sur le substrat. Quand un substrat convenable est rencontré, la larve est prête à se métamorphoser et démarre son existence benthique. Les larves d'huître mature secrètent une petite goutte de ciment à partir d'une glande située au niveau du pied, se retourne et place sa valve gauche dans ce ciment. Elles restent fixées à cet endroit à vie. Chez d'autres espèces, les larves secrètent le byssus à partir de la glande byssogène située au niveau du pied et qui leur sert de fixation temporaire au substrat. La larve est prête maintenant à la métamorphose.
La métamorphose est une période critique dans le développement des bivalves, durant laquelle l'animal passe de la vie pélagique nageuse à la vie benthique sédentaire. Des mortalités considérables peuvent se produire pendant cette phase aussi bien en milieu naturel qu'en écloserie. Par son aspect important dans la production des juvéniles de bivalves en écloserie, ce sujet est discuté plus en détail ultérieurement.
Les bivalves sont des filtreurs qui se nourrissent essentiellement de phytoplancton. Chez les juvéniles et les adultes, les cténidies, ou branchies, sont bien développées et assurent un double rôle, la nutrition et la respiration. Les cténidies sont recouverts de cils - filaments fins vibratiles - qui ensemble coordonnent les contractions induisant un courant d'eau. Au repos ou enfoui, l'eau est aspirée par l'animal à travers l'ouverture inhalante ou siphon passant par les branchies et, est par la suite refoulée au milieu environnant par l'orifice exhalant ou siphon. Les branchies captent le plancton et l'enrobent dans un mucus. Des particules de nourriture chargées de mucus passent d'abord grâce à l'action des cils à travers des canaux spéciaux des filaments branchiaux jusqu'aux palpes labiaux dont le rôle est de diriger la nourriture vers la bouche. Les bivalves peuvent exercer une certaine sélection de leur nourriture et périodiquement les palpes rejettent de petites quantités de nourriture, pseudo-fèces, qui sont expulsés à partir de la cavité du manteau, souvent suite aux battements vigoureux des deux valves.
Ce qui constitue la nutrition optimale pour les bivalves reste largement méconnue. Cependant, le phytoplancton forme sans aucun doute un des constituants majeurs de ce régime. D'autres sources d'alimentation peuvent être importantes telles que des particules fines de matières organiques inertes (détritus) associées aux bactéries et aussi la matière organique dissoute.
Seules des considérations d'ordre général peuvent être apportées à propos de la croissance des juvéniles et des adultes car la croissance varie d'une manière importante entre les espèces, leur distribution géographique, par exemple, le climat, la localisation dans les zones sub-tidales ou intertidales, ainsi que les différences individuelles et leur origine génétique. La croissance peut aussi varier d'une manière importante d'une année à l'autre et dans les zones tempérées il y a des gradients de croissance saisonnière.
La croissance peut être mesurée chez les bivalves à l'aide de différentes méthodes incluant les augmentations de la longueur et la hauteur de la coquille, les augmentations du poids total ou du poids de chair, ou une combinaison de tous ces facteurs. Dans les régions tropicales, la croissance peut varier selon les saisons; elle est rapide durant ou après la saison des pluies quand les nutriments sont entraînés vers l'océan permettant une augmentation de production phytoplanctonique. Dans les régions tempérées, la croissance est généralement activée durant le printemps et l'été, au cours desquels la nourriture est abondante et les températures sont plus chaudes. Elle cesse pendant l'hiver, ce qui se traduit par un arrêt annuel de croissance de la coquille. Ces analyses de stries d'arrêt hivernal peuvent être utilisés pour déterminer l'âge de certains bivalves. Certaines espèces ont une durée de vie courte mais d'autres peuvent vivre jusqu'à 150 ans.
En conchyliculture, les critères importants à considérer, pour la croissance des bivalves, est le temps nécessaire pour atteindre la maturité sexuelle et la taille commerciale. L'objectif de la culture des bivalves est leur grossissement jusqu'à la taille commerciale aussi rapidement que possible pour rendre ces opérations intéressante du point de vue économique.
Les bivalves peuvent mourir aux différents stades, larvaire, juvénile ou adulte pour différentes raisons, qui peuvent être d'origine environnementale ou biologique. Le sujet est trop vaste pour pouvoir le discuter en détail dans cette section mais un bref résumé est présenté pour éclaircir un nombre de points pertinents, qui peuvent être importants en écloserie.
Les facteurs physiques peuvent causer des mortalités sévères chez les bivalves pendant les trois stades de culture. Des températures trop élevées ou longues périodes de températures froides peuvent leur être létale, tout comme les brusques changements de température. Des changements extrêmes dans les salinités, particulièrement les basses salinités après des périodes de forte pluie ou de fonte de neige, peuvent aussi provoquer d'amples mortalités. Un fort envasement peut étouffer et tuer aussi bien les juvéniles que les adultes.
La pollution, notamment la pollution industrielle, peut provoquer des mortalités extensives de juvéniles et d'adultes de bivalves. La pollution industrielle et domestique est susceptible d'engendrer des problèmes en écloserie et devrait donc être évitée. La pollution domestique peut augmenter les teneurs en matière organique et le nombre de bactéries dans l'eau et véhicule également une large panoplie de matériels potentiellement toxiques. Les effets combinés des taux sub-létaux de la plupart des constituants organiques et métalo-organiques d'origine anthropique et qui peuvent être présents dans les effluents restent méconnus.
Les bivalves durant les stades larvaire, juvénile et adulte sont des proies pour une grande variété d'animaux qui peuvent engendrer de sévères mortalités. Dans l'environnement naturel les planctophages consomment probablement de grandes quantités de larves. Dans les écloseries, la prédation n'est pas un problème puisque l'eau utilisée est filtrée et tous les prédateurs éliminés.
Les bivalves peuvent héberger des parasites responsable de mortalités, particulièrement à l'âge adulte. Les vers perceurs, Polydora sp. et les éponges creusent des galeries à l'intérieur de la coquille et les affaiblissent, entraînant des mortalités.
La principale cause probable des mortalités chez les bivalves, particulièrement chez les larves et les juvéniles en écloserie, est la maladie. Des efforts de recherche considérables ont été entrepris pour étudier les maladies des bivalves et tenter de développer des méthodes pour les juguler.
Les maladies peuvent être dévastatrices pour les bivalves adultes comme le témoigne la disparition de certaines populations dans le monde. Quelques exemples incluent,
Dermocystidium:
maladie fongique causée par le parasite Perkinsus marinus;Maladie de la baie de Delaware (MSX):
maladie causée par le protozoaire haplosporidian, Haplosporidium (Minchinia) nelsoni;SSO (seaside organism disease ou Maladie de l'organisme de mer):
maladie provoquée par le protozoaire haplosporidium, Haplosporidium costale, (qui ensemble avec H. nelsoni ont affecté de vastes populations d'huître de Virginie sur la côte atlantique des Etats-Unis d'Amérique et qui s'étend maintenant dans le nord atlantique du Canada).Maladie des Abers:
une maladie causée par le protozoaire, Marteilia refringens, Marteilia refringens;Bonamiose (maladie hémocylaire):
maladie causée par le parasite microcellulaire, Bonamia ostreae; (La maladie des Abers et la Bonamiose ont conduit à l'extinction de l'huître européenne dans certaines zones de l'Europe).
Bien que des travaux considérables aient été réalisés sur ces maladies, aucune méthode pratique n'a été développée pour juguler ces maladies et rétablir les populations d'huîtres à leur état antérieur. Le danger de ces maladies montre à quel point des précautions doivent être prises quant au transport de stock de bivalves adultes dans l'écloserie.
En écloseries, il a été montré que les maladies qui sévissent sont causées plutôt par des bactéries que par des protozoaires. Les bactéries sont présentes dans les cultures d'algues et de larves jusqu'à un certain degré. En effet, les bactéries peuvent former une part importante du régime alimentaire des larves. Cependant, périodiquement des larves en grande quantité peuvent mourir brusquement et l'élevage entier est perdu. Un nombre élevé de bactéries est presque toujours associé à une telle mortalité de masse. Les bactéries peuvent engendrer des mortalités (type pathogène) ou peuvent être simplement présentes en tant qu'opportunistes (type saprophyte), en s'alimentant de larves mortes. Les bactéries qui provoquent des maladies, appartiennent généralement au genre Vibrio sp. et toutes précautions doivent être prises pour éviter des épidémies en écloserie. La meilleure méthode pour prévenir de telles propagations est de suivre et d'appliquer les procédures d'hygiène et de s'assurer que les larves soient bien alimentées avec une nourriture de bonne qualité. Les larves doivent être inspectées régulièrement. Si une maladie se déclenche ou est suspectée, les bacs et les équipements doivent être stérilisés avec de l'eau de javel et abondamment rincés à l'eau douce. Pour protéger les larves d'autres contaminations, les bacs doivent être à nouveau remplis avec de l'eau de mer préalablement traitée aux ultraviolets (UV) ou à l'ozone. L'utilisation des antibiotiques pour contrôler les maladies est largement évitée dans les écloseries. Ils sont coûteux et constituent donc une charge additionnelle; la sélection de souches résistantes aux antibiotiques, qui peuvent engendrer à terme de très graves problèmes est aussi une crainte.
Balouet, G., Poder, M. et Cahout, A. 1983. Haemocytic parasitosis: morphology and pathology of lesions in the French flat oyster, Ostrea edulis L. Aquaculture 34: 1-14
Bower, S.M. 1992. Diseases and parasites of mussels. In: The Mussel Mytilus: Ecology, Physiology, Genetics and Culture. E.G. Gosling (ed). Elsevier. Devel. Aquaculture Fish. Sci. 25: 465-510
Bower, S.M., McGladdery, S.E. et Price, I.M. 1994. Synopsis of infectious diseases and parasites of commercially exploited shellfish. Annual. Rev. of Fish. Diseases. Elsevier, 4: 1-199
Cesari, P. et Pellizzato, M. 1990. Biology of Tapes Philippinarum, p 21-46. In: Tapes Philippinarum: Biologia e Sperimentazione. Regione Veneto, Ente di Sviluppo Agricolo, Venice: 299 pp. (text in Italian and English)
Elston, R.A. 1990. Mollusc Diseases; Guide for the Shellfish Farmer. Washington Sea Grant. Univ. Washington, USA. SH179.S5E44: 73 pp.
Ford, S.E. 2001. Pests, parasites, diseases and defense mechanisms of the hard clam, Mercenaria mercenaria. In: Biology of the Hard Clam, J.N. Kraeuter and M. Castagna (eds). Elsevier. Devel. Aquaculture Fish. Sci. 31: 591-628
Ford, S.E. et Tripp, M.R. 1996. Diseases and defense mechanisms. In: The Eastern Oyster, Crassostrea virginica. V.S. Kennedy, R.I.E. Newell and A.F. Eble (eds). Maryland Sea Grant, Univ. Maryland, College Park, Maryland, USA. ISBN-0-943- 676-61-4: 423-441
Getchell, R.G. 1991. Diseases and parasites of scallops. In: Scallops: Biology, Ecology and Aquaculture. S.E. Shumway (ed). Elsevier. Devel. Aquaculture Fish. Sci. 21: 471-494
Gosling, E. (ed). 1992. The Mussel, Mytilus: Ecology, Phytiology, Genetics and Culture. Elsevier. Devel. Aquaculture Fish. Sci. 25: 589 pp.
Gosling, E. 2002. Bivalve Molluscs, Biology, Ecology and Culture. Fishing News Books. Blackwell Publishing, UK: 443 pp.
Grizel, H., Miahle, E., Chagot, D., Buolo, V. et Bachere, E. 1988. Bonamiasis: a model study of disease in marine molluscs. In: Disease Processes in Marine Bivalve Molluscs W.S. Fisher (ed). Amer. Fish. Soc. Spec. Publ. 18. Bethesda Maryland: 1-4
Jorgensen, C.B. 1990. Bivalve Filter Feeding: Hydrodynamics, Bioenergetics, Physiology and Ecology. Olsen and Olsen, Fredensborg, Denmark: 140 pp.
Kennedy, V.X., Newell, R.I.E. et Eble, A.F. (eds). 1996. The eastern oyster Crassostrea virginica. Maryland Sea Grant, Univ. Maryland, College Park, Maryland, USA. ISBN- 0-943-676-61-4: 734 pp.
Koringa, P. 1976. Farming the Flat Oyster of the Genus Ostrea. Elsevier. Devel. Aquaculture Fish. Sci. 3: 238 pp.
Kraeuter, J.N. et Castagna, M. (eds). 2001. Biology of the Hard Clam. Elsevier. Devel. Aquaculture Fish. Sci. 51: 751 pp.
Manzi, J.J. et Castagna, M. 1989. Clam Mariculture in North America. Elsevier. Devel. Aquaculture and Fish. Sci. 19: 461 pp.
Mason, J. 1983. Scallop and Queen Fisheries in the British Isles. Fishing News Books Ltd, Surrey, UK: 143 pp.
Morton, J.E. 1960. Molluscs: An Introduction to their Form and Function. Harper extbooks, New York, USA: 232 pp.
Quayle, D.G. 1988b. Pacific oyster culture in British Columbia. Can. Bull. Fish. Aquatic Sci. 218: 241 pp.
Shumway, S.E. (ed). 1991. Scallops, biology, ecology and aquaculture. Elsevier. Devel. In Aquaculture Fish. Sci. 21: 1095 pp.
Yonge, C.M. et Thompson, T.E. 1976. Living Marine Molluscs. Will Collins, Sons and Co. Ltd, Glasgow: 288 pp.