C.V. Mohan and M.J.
Phillips
Network of
Aquaculture Centres in Asia-Pacific
Suraswadi Building,
Department of Fisheries
Kasetsart University
Campus
Ladyao, Jatujak,
Bangkok 10900, Thailand
[email protected]
[email protected]
Mohan, C.V. & Phillips, M.J. 2005. Capacity building for developing national and regional emergency prevention systems for transboundary aquatic animal diseases. p. 147–156. In: Subasinghe, R.P.; Arthur, J.R. (eds.). Regional workshop on preparedness and response to aquatic animal health emergencies in Asia. Jakarta, Indonesia, 21–23 September 2004. FAO Fisheries Proceedings. No. 4. Rome, FAO. 2005. 178p.
ABSTRACT
Transboundary movement of live aquatic animals is one of the principal reasons for increased disease emergencies in the Asia-Pacific Region. Disease emergencies may arise within a country in a number of ways: introductions of known exotic diseases, changes in the pattern of known endemic diseases or the appearance of unknown diseases. Contingency planning is critical to the effective management of such disease emergencies. A wide range of capacity and awareness building is required to effectively manage aquatic animal disease emergencies. This paper examines the capacity and awareness building needs of countries in the Asia-Pacific Region to deal with aquatic animal health emergencies and provides details of some of the key capacity and awareness building initiatives in the region. Further, the paper attempts to provide a general picture of responsibilities at the different stakeholder levels to implement effectively a contingency plan, and identifies the skills and capacity required to carry out the responsibilities.
INTRODUCTION
Threats to the sustainability of the aquaculture industry are numerous. Aquatic animal disease has been one of the most serious. Diseases caused by transboundary pathogens pose serious threats to aquaculture in many parts of the Asia-Pacific Region. Transboundary animal diseases are defined as epidemic diseases that are highly contagious or transmissible, with the potential for very rapid spread irrespective of national borders and which cause significant socio-economic and possibly public health consequences (Baldock, 2002).

FAO/NACA quarterly disease report
Transboundary movement of live aquatic animals in the region is one of the principal reasons for increased occurrence and spread of several serious diseases (Subasinghe, Bondad-Reantaso and McGladdery, 2001; Bondad-Reantaso, 2004). Examples of diseases and pathogens introduced to new areas and hosts leading to serious consequences in the Asia-Pacific Region include epizootic ulcerative syndrome (EUS) in fresh- and brackishwater fishes, white spot syndrome virus (WSSV) and Taura syndrome virus (TSV) in cultured shrimp and viral encephalopathy and retinopathy (VER) in grouper. Common carp and koi mass mortalities in Indonesia since June 2002 and the confirmed outbreak of Koi herpes virus (KHV) in Japan (NACA/FAO, 2004) are further reminders of the dangers associated with the transboundary spread of pathogens. Important transboundary aquatic animal diseases positively reported based on the information recorded in 22 issues (1998 to 2003) of the Network of Aquaculture Centres in Asia-Pacific (NACA)/Food and Agriculture Organization of the United Nations (FAO)/World Organization for Animal Health (OIE) Quarterly Aquatic Animal Disease (Asia-Pacific Region) Reporting System (QAAD) is provided in Table 1. Careful examination of the history and spread of transboundary pathogens indicates how lack of effective surveillance systems and contingency plans can impact aquaculture and wild fisheries resources.
TABLE 1
Occurrence (+) of important finfish and crustacean transboundary diseases in the Asia-Pacific as
reported in the NACA/FAO/OIE Regional Quarterly Aquatic Animal Disease (QAAD) Reporting
System.
| Disease1 | EUS | VER | GID | KHV | WSD | TS |
| Country | ||||||
| Australia | + | + | ||||
| Bangladesh | + | + | ||||
| Cambodia | + | + | ||||
| China PR | + | + | ||||
| DPR Korea | ||||||
| Hong Kong China | + | + | ||||
| India | + | + | ||||
| Indonesia | + | + | + | + | + | + |
| Iran | + | |||||
| Japan | + | + | + | + | ||
| Lao PDR | + | |||||
| Malaysia | + | + | + | |||
| Myanmar | + | + | ||||
| Nepal | + | |||||
| Pakistan | + | |||||
| Philippines | + | + | + | |||
| Korea RO | + | + | ||||
| Singapore | + | + | + | |||
| Sri Lanka | + | + | ||||
| Thailand | + | + | + | + | ||
| Viet Nam | + | + | + | + |
CAPACITY AND AWARENESS REQUIRED FOR CONTINGENCY PLANNING, EARLY WARNING AND EMERGENCY RESPONSE
A disease outbreak emergency exists when a population of aquatic animals is recognized as undergoing severe mortality events, or there is otherwise an emerging disease threat where urgent action is required. Infectious disease emergencies may arise within a country in a number of ways, for example: introductions of known exotic diseases, sudden changes in the pattern of existing endemic diseases or the appearance of previously unrecognized diseases. Contingency planning, early warning and early response are critical to the effective management of such disease emergencies. In simple terms, emergency response involves implementation of a well thought out and agreed technical response plan to identify and deal with an aquatic animal disease emergency event. Preparedness should happen during “peace time”(i.e. when there is no disease). When there is an emergency, the response should proceed according to the plans that have been developed.
Contingency planning is an agreed management plan and set of operational procedures that would be adopted in the event of an aquatic animal disease emergency. For mounting an effective emergency response, governments should have the capability to develop contingency plans and build the required operational capacity (e.g. human resources) to implement the plan effectively. Industry should be involved and ideally, also be encouraged to have “ownership”of the plans. Some of the important components of a contingency plan include: technical plans (e.g. manuals on disease strategy, general procedures), support plans (e.g. financial, resource) and operational plans (e.g. management manual, diagnostic resources, training resources), all with clearly designated responsibilities. Through a well-documented contingency action plan agreed upon by all major stakeholders, it should be possible to minimize the impact of an aquatic animal disease emergency.
The aim of early warning is to rapidly detect the introduction of an exotic pathogen or a sudden increase in the incidence of any disease. For establishing an effective early warning programme, a strong technical capability at the national level is fundamental in the areas of disease diagnostics, risk analysis, disease surveillance, zoning, epidemiological analysis, aquatic animal health information systems, national and international disease reporting, and information communication and sharing.
Emergency response is identified as all actions that would be targeted at rapid and effective eradication/containment/mitigation of an emergency disease outbreak. The responses may be of different types depending on the disease agent and the likely impact. Some responses (e.g. only monitoring) may not cause any disruption to the culture operation, while some may cause some disruption (e.g. movement control, treatment, increased surveillance). Drastic responses (e.g. destruction of stock, emergency harvest) will cause major disruption to farming practices. Operational capabilities at different levels (farm/village/province/national) are vital to mount an effective emergency response.
Australia has developed an effective emergency preparedness and response programme known as The Australian Aquatic Animal Diseases Veterinary Emergency Plan (see AQUAVETPLAN, 2002). It comprises a series of manuals outlining national emergency preparedness and response and control strategies. The manuals provide guidance based on sound analysis, linking policy, strategies, implementation, coordination and emergency management plans. The Control Centers Management manual outlines the organizational response during an aquatic animal disease emergency event, addressing legislative, management and resource issues. The Enterprise manual describes the emergency response options available for control and eradication of aquatic animal diseases. It also provides a framework for assessing which strategy to use, taking into account several factors (e.g. type of pathogen, management practices and effectiveness of treatment). The Destruction manual guides the decision to destroy the stock, and the choice and application of appropriate techniques based on several considerations (e.g. type of animal, disease and production system, their end use, possibility of the disease infecting human beings). The Disposal manual provides guidance for safe transport and disposal of carcasses, animal products and wastes. These manuals are aimed at government and industry personnel who may be involved in emergency disease preparedness and response. Closer examination of these manuals helps to understand the extent of technical capacity building, infrastructure and financial resources that are required to support an ideal national emergency preparedness and response programme.
STATUS OF CAPACITY FOR AQUATIC ANIMAL HEALTH MANAGEMENT IN THE ASIA-PACIFIC REGION
The guiding principles in the “Asia Regional Technical Guidelines on Health Management and the Responsible Movement of Live Aquatic Animals” (or the “Technical Guidelines”) and their associated implementation plan, “the Beijing Consensus and Implementation Strategy” (BCIS) (FAO/NACA, 2000), was adopted as a regional strategy by 21 governments in the Asian Region in the year 2000. Within Asia, the Technical Guidelines provide the basic framework and guidance for national and regional efforts in reducing the risks of diseases due to transboundary movement of live aquatic animals. The main elements of the Technical Guidelines are: guiding principles, pathogens to be considered, disease diagnosis, health certification and quarantine measures, disease zoning, disease surveillance and reporting, contingency planning, import risk analysis, national strategies and policy frameworks, regional capacity building and an implementation strategy. The framework provided by the Technical Guidelines is a comprehensive one that includes all major requirements for managing aquatic animal disease emergencies associated with transboundary pathogens.

Twenty one Asian countries participate in the NACA/FAO regional aquatic animal health management programme
TABLE 2
Assessment of progress made in the Asia-Pacific Region towards implementation of the
Technical Guidelines.
| Elements in the Technical Guidelines | Progress Made (Number of Countries) | ||
| Good | Moderate | Low | |
| Disease diagnosis | 8 | 8 | 5 |
| Health certification and quarantine measures | 10 | 5 | 6 |
| Disease zoning | 3 | 3 | 15 |
| Disease surveillance and reporting | 6 | 9 | 6 |
| Contingency planning | 3 | 6 | 12 |
| Import risk analysis | 2 | 5 | 14 |
| National strategies and policy frameworks | 11 | 4 | 6 |
Countries in the region are at different stages of development of the national aquatic animal health strategies that contain the action plans of governments and that form the basis for the national-level implementation of the Technical Guidelines. Despite the considerable progress accomplished in the region, there are still areas that need to be seriously addressed. An assessment of the progress made in the Asia-Pacific in the implementation of the various elements contained in the Technical Guidelines shows the present status and highlights the regional capacity building needs (see Table 2).
This analysis suggests that contingency planning is one of the weak points where capacity building is required.
CAPACITY AND AWARENESS BUILDING NEEDS AT THE NATIONAL LEVEL
For some countries in the region, capacity-building activities should initially focus on developing and implementing simple and practical national aquatic animal health management strategies incorporating the key elements contained in the Technical Guidelines. For countries already having practical national strategies, it should be easier to target resources and build specialist capacity for early warning and early response to tackle aquatic animal disease emergencies. Early warning and early response programmes embrace all initiatives, mainly based on risk analysis, disease surveillance, reporting and epidemiological analysis. Mere establishment of emergency preparedness programmes and frameworks without appropriate skill and capacity development would be of little value. Capacity and awareness building is required at different levels to carry out the various responsibilities:
early response (e.g. national and local disease control centers, information systems, laboratory procedures, field guides, trained field staff).
Table 3 attempts to provide a general picture of responsibilities at the different levels, and the skills and capacity required to carry out the responsibilities. A wide range of capacity and awareness building is required to effectively manage aquatic animal disease emergencies. It is clear from experience that for most countries in the region, it is going to be a very difficult challenge to develop an ideal emergency preparedness and response programme. The capacity is inadequate in many countries in Asia due to several factors, such as limited diagnostic capacities, lack of information, insufficient human resources and infrastructure, and lack of financial resources.
In such a scenario, there is a need to look to other options. Countries should target resources to develop simple and practical contingency plans to deal with high-risk diseases (e.g. Koi herpes virus disease, Taura syndrome) that are likely to be introduced. Management of an aquatic animal disease emergency will require a collaborative and team approach. Opportunities for optimizing the existing resources at the national level (e.g. promoting collaboration with livestock services, which are usually well experienced in managing terrestrial animal disease emergencies) should be seriously explored. At the regional level, countries with experience should be encouraged to share information with other countries and help bridge the development gap. Countries can also use regional reporting systems to be more aware of the new diseases that may pose risk.
Provision of adequate resources is crucial for the implementation of an emergency preparedness programme. Severe lack of resources at the level of policy development and at the operations level could significantly reduce the effectiveness of the response in the event of an aquatic animal disease emergency. Awareness building at the level of policy-makers is essential to improve their understanding of the seriousness of aquatic animal disease problems to secure adequate priority at the national level. Equally important is improving the understanding by both governments and industries of the benefits from investing in emergency response systems.
REGIONAL INITIATIVES TO SUPPORT EMERGENCY PREPAREDNESS
Several past and ongoing collaborative regional initiatives (e.g. training programmes, workshops, master classes) have supported capacity and awareness building on aquatic animal health. The following section briefly highlights some of the key capacity and awareness building initiatives in the region that assist countries in dealing with aquatic animal disease emergencies.
The NACA/FAO/OIE Quarterly Aquatic Animal Disease (QAAD) Reporting System, participated by 21 countries, is one such example. To date, 22 quarterly issues have been published and widely disseminated in the region. The NACA/FAO/OIE disease list includes all diseases listed by the OIE plus other diseases of concern to the region. The OIE International Aquatic Animal Health Code (2004) lists 35 diseases of finfish, molluscs and crustaceans based on three criteria (i.e. consequence, spread and diagnosis) and which should be reported to OIE by member governments. The NACA/FAO/OIE Quarterly Aquatic Animal Disease (Asia-Pacific Region) Reporting System lists 44 diseases, including a number which are non-OIE listed (e.g. Koi herpes virus disease, abalone viral mortality and grouper iridoviral disease). The information generated through the regional reporting system provides up-to-date information on important diseases in the Asia-Pacific Region, serves as an early warning system for emerging diseases (e.g. KHV, TS) and can be a valuable source of information to support risk analysis.
Recognizing the increasingly serious socio-economic impacts and the possible consequences for international trade arising from disease incursions due to the introduction and spread of transboundary pathogens through the irresponsible movement of live aquatic animals, an Asia Pacific Economic Cooperation (APEC) Fisheries Working Group (FWG)-funded project (APEC FWG 01/2002) “Capacity and Awareness Building on Import Risk Analysis (IRA) for Aquatic Animals”was successfully implemented by NACA during 2002–2004 in partnership with several regional and international organizations. The project provided valuable regional training and learning opportunities for APEC economies, NACA and FAO member governments and participating regional/international organizations. Capacity on aquatic animal health management, particularly risk analysis, was enhanced, which could lead to improved aquatic animal health policies and practices in the region. Important outputs include two significant publications: (a) a technical report (Arthur and Bondad-Reantaso, 2004) and (b) a risk analysis manual (Arthur et al., 2004) that provides a simplified overview of the risk analysis process to assist responsible individuals in formulating national policies and developing approaches to conduct risk analysis.

CV MOHAN
Red spot disease of grass carp may cause serious economic losses if not adequately controlled
A regional Advisory Group (AG) on aquatic animal health established by the Governing Council of NACA in 2001 is functioning proactively to move forward the implementation of the Technical Guidelines. NACA provides institutional support, while FAO, OIE and the identified experts provide technical guidance. The AG meets annually, and through its meeting recommendations (NACA 2004) provides specialist advice, especially on emerging diseases of concern to governments in the region. The recommendations serve as an early warning to countries in the region with susceptible species.
With the aim to maximize the utilization of existing resources in the region, a Regional Aquatic Animal Health Resource Base is being identified under the ongoing NACA regional initiative. The resource base in aquatic animal health is being identified at three levels: regional resource experts (RRE), regional resource centres (RRC) and regional reference laboratories (RRL). RRE is the first level of resource, and the identified experts will provide specialist advice to the region in their fields of expertise, assist in developing diagnostic manuals and disease cards, and provide diagnostic assistance on disease emergencies in the region. The second level of resource, the RRC, will not be specific for a single disease but will have good experience in diagnosing and studying aquatic animal diseases and pathogens. RRL is the third level of resource that would be identified for diseases of regional concern not listed by the OIE but included in the QAAD list. A cohesive networking among RREs, RRCs and RRLs in the region will provide an effective, strong and broad network of diagnostic support that will assist to build capacity for implementation of the Technical Guidelines. The envisaged resource base within the Asia Region would provide national agencies with assistance in the diagnosis of key diseases on the regional disease list, provide more generalized support, assist in emergency response to new disease outbreaks and act as contact centers for advice and capacity building in close cooperation with institutions having a mutual interest in improving aquatic animal health.
Pathogens associated with aquatic animal disease emergencies do not respect borders and can spread very rapidly from country to country. Countries in the region are starting to cooperate more closely in their efforts to minimize the impact of aquatic animal diseases. The recent workshop hosted by the Government of Malaysia in July 2004 in Penang, Malaysia, entitled “Building Capacity to Combat Impacts of Aquatic Invasive Alien Species and Associated Trans-boundary Pathogens in ASEAN Countries”is an example of such cooperation. Unless this is done, the disease control efforts of individual countries will be continually frustrated. Part of this cooperation should be the rapid sharing of information on new disease occurrences and the spread of existing epidemic diseases to new areas, particularly near shared watersheds. Therefore, there is a need to continue the strong regional cooperation in aquatic animal health in the Asia-Pacific Region.
CONCLUSIONS
Aquaculture has suffered significant losses due to diseases, and increasing risks are foreseen in the future as aquaculture continues to expand. Enabling governmental policies and commitment among stakeholders will help in managing aquatic animal disease emergencies. Many countries in the region still face significant challenges in the practical implementation of health management strategies, especially in the areas of surveillance, reporting, zoning, contingency planning and risk analysis. This is mainly due to inadequate national capacity and awareness. Bridging development gaps and capacity building across member countries is necessary. As development and implementation of an effective emergency preparedness and response strategy is a long-term process, continuous efforts to motivate and support governments and private industry in initiating their health management programmes is required. Capacity and awareness building activities to suit the regional aquatic animal health management needs should be continuously undertaken to sustain the good momentum built in the region. In particular, further support to national and regional initiatives for capacity building is essential.
LITERATURE CITED
AQUAVETPLAN. 2002. The Australian aquatic animal diseases veterinary emergency plan. (www.affa.gov.au).
Arthur, J.R. & Bondad-Reantaso, M.G. (eds.) 2004. Capacity and awareness building on import risk analysis (IRA) for aquatic animals. Proceedings of the workshops, 1–6 April 2002, Bangkok, Thailand and 12–17 August 2002, Mazatlan, Mexico. APEC FWG 01/2002. NACA, Bangkok, 203 pp.
Arthur, J.R., Bondad-Reantaso, M.G., Baldock, F.C., Rodgers, C.J. & Edgerton, B.F. 2004. Manual on risk analysis for the safe movement of aquatic animals (FWG/01/2002). APEC/DoF/NACA/FAO, 59 pp.
Baldock, C. 2002. Health management issues in the rural livestock sector: useful lessons for consideration when formulating programmes on health management in rural, small-scale aquaculture for livelihood. In: J.R. Arthur, M.J. Phillips, R.P. Subasinghe, M.B. Reantaso &. I.H. MacRae, (eds.) Primary aquatic animal health care in rural, small-scale, aquaculture development. pp. 7–19. FAO Fisheries Technical Paper No. 406. Rome.
Bondad-Reantaso, M.G. 2004. Trans-boundary aquatic animal diseases/pathogens. In: J.R. Arthur & M.G. Bondad-Reantaso, (eds.) Capacity and awareness building on import risk analysis for aquatic animals. pp. 9–22. Proceedings of the workshops, 1–6 April 2002, Bangkok, Thailand and 12–17 August 2002, Mazatlan, Mexico. APEC FWG 01/2002, NACA, Bangkok.
FAO/NACA. 2000. Asia regional technical guidelines on health management for the responsible movement of live aquatic animals and the Beijing consensus and implementation strategy. FAO Fisheries Technical Paper No. 402, 53 pp., Rome.
NACA. 2004. Report of the second meeting of the Asia Regional Advisory Group on Aquatic Animal Health. NACA, Bangkok, 27 pp.
NACA/FAO. 2004. Quarterly Aquatic Animal Disease Report (Asia and Pacific Region). 2003/4, October to December 2003. NACA, Bangkok, 44 pp.
OIE. 2004. International aquatic animal health code. 6th edn. Office International des Épizooties, Paris, 165 pp. (www.oie.int/eng/normes/fcode/A_sum)
Subasinghe, R.P., Bondad-Reantaso, M.G. & McGladdery, S.E. 2001. Aquaculture development, health and wealth. In: R.P. Subasinghe, P. Bueno, M.J. Phillips, C. Hough, S.E. McGladdery & J.R. Arthur, (eds.) Aquaculture in the third millennium. Technical proceedings of the Conference on Aquaculture in the Third Millennium. pp. 167–191. Bangkok, Thailand, 20–25 February 2000. NACA, Bangkok and FAO, Rome.
TABLE 2
The responsibilities involved at
different levels and the capacity building required for contingency planning,
early warning and emergency response (the purpose of the table is mainly to
show the enormity of capacity building that will be required at different
levels to effectively prepare a contingency plan and run an early warning and
emergency response system. The table however does not represent a complete job
description and capacity requirements.)
| Contingency Planning | ||
| People | Responsibilities | Capacity Required |
| National committees/ responsible authorities (e.g. Ministry of Fisheries, Department of Fisheries, Department of Livestock, fisheries research centers, fisheries teaching institutions, extension departments, private sector) |
|
|
|
| |
| Early Warning and Emergency Response | ||||
| People | Responsibilities | Skills Required | Awareness Required to Support Skill Development | Capacity Required to Support Skill Development |
| Pond/Farm Level (e.g. farmers, farmer associations, officers of the local disease control center) |
|
|
|
|
| Village/District Level (e.g. extension staff, department officers, farmer leaders, research staff, officers of the local disease control center) |
|
|
|
|
| State/Province Level (e.g. research personnel, officers of main line departments, officers of state & provincial & disease control centers) |
|
|
|
|
| National Level (personnel from national research laboratories, main line departments, national disease control centers) |
|
|
|
|
Chris Baldock
AusVet
Animal Health Services
PO
Box 3180, South Brisbane Qld 4101
Australia
[email protected]
Baldock, C. 2005. National contingency plans for aquatic animal disease emergencies: the way forward for developing countries. p. 157–165. In: Subasinghe, R.P.; Arthur, J.R. (eds.). Regional workshop on preparedness and response to aquatic animal health emergencies in Asia. Jakarta, Indonesia, 21–23 September 2004. FAO Fisheries Proceedings. No. 4. Rome, FAO. 2005.178p.
ABSTRACT
Infectious disease emergencies may arise within a country in a number of ways, for example: incursions of known exotic diseases, sudden changes in the behaviour of existing endemic diseases, or the appearance of previously unrecognized diseases. Contingency planning is critical to the effective management of such disease emergencies. A strong national approach is required to ensure that the necessary operational capability is in place so that early detection and effective responses are efficiently achieved. Recovery from an emergency disease response must be followed by measures to ensure that freedom from the particular disease is again maintained. this paper discusses each of these aspects.
INTRODUCTION
The epidemic spread and devastating impacts of white spot syndrome virus (WSSV) in cultured shrimp in Asia clearly demonstrated the vulnerability of aquaculture systems to wide-scale infectious disease emergencies. More recently, the widespread mass mortalities of koi and common carp in Indonesia have re-emphasized the impact that new diseases can have on local economies. Hopefully, the lessons learned from these experiences will result in better preparedness for, and improved responses to similar events when they occur in the future.
The role of contingency planning within a National Aquatic Animal Health Strategy is stressed in the “Asia Regional technical Guidelines on Health Management for the Responsible Movement of Live Aquatic Animals and the Bejing Consensus and Implementation Strategy” (FAO/NACA, 2000) and preliminary guidance to developing countries on the development of contingency plans is provided in the “Manual of Procedures for the Implementation of the Asia Regional technical Guidelines on Health Management for the Responsible Movement of Live Aquatic Animals” (FAO/NACA, 2001). this paper discusses the components of a national contingency plan in greater detail.
FIGURE 1
Framework for emergency disease preparedness

Infectious disease emergencies may arise within a country in a number of ways, for example: incursions of known exotic diseases, sudden changes in the behaviour of existing endemic diseases, or the appearance of previously unrecognized diseases. Early warning and early response are critical to the effective management of such disease emergencies. A strong national approach is required to ensure that the necessary operational capability is in place so that early detection and effective responses are efficiently achieved. Recovery from an emergency disease response is followed by measures to ensure that freedom from the particular disease is again maintained. Figure 1 shows the linkages among these different components. Each of these is explained in more detail in the following sections.
NATIONAL PLANNING AND COORDINATION
In order to have emergency preparedness planning recognized as an important core function of government services, and to have adequate funding and other resources allocated to these activities, the responsible authority should enlist the support of all interested parties. These will include the relevant minister and senior ministry officials, other government departments and agencies including national economic development planning authorities, farming and fishing communities and organizations, seafood marketing authorities, processors, traders and exporters.
Of these, the most important target groups are the government and the farming and fishing communities. In presenting a strong case for support for emergency preparedness planning, the identified disease risks should be described together with the potential socio-economic consequences of an incursion of the disease. Additionally, the benefits that will result from more rapid containment and eradication of the disease outbreak through preparedness should be forcefully presented. The case should preferably be supplemented by a formal socio-economic cost-benefit analysis.
Responsibility for aquatic animal disease emergencies
The Responsible Officer recognized by the Office International des Épizooties (OIE or World Organisation for Animal Health) for the particular country should have overall technical responsibility with regard to preparedness for and management of aquatic animal health emergencies. This may be the Chief Veterinary Officer (CVO) or equivalent, such as the Director of Fisheries of the country. The appropriate government minister would of course be ultimately responsible.
National emergency disease planning committee
A National Emergency Disease Planning Committee (NEDPC) should be appointed to facilitate and coordinate emergency planning. This committee should be directly accountable to the relevant minister such as the Minister of Fisheries and should be charged with the responsibility for developing and maintaining a high state of preparedness for animal disease emergencies. It should preferably be chaired by the Responsible Officer and should hold regular meetings to carry out the following functions:
The NEDPC should comprise the Responsible Officer as chairman, the National Emergency disease Planning Officer (see below) as secretary, director of field services/ director of disease control (or equivalent), director of the national laboratory, head of the epidemiology unit, director of aquatic animal quarantine and directors of relevant state or provincial services.
In addition to these senior officials, representatives of other ministries that may have a substantial role in responding to aquatic animal disease emergencies, such as environment, wildlife services, economic planning and finance, should either be full members of the committee or should be co-opted as required. It is also highly desirable to have members drawn from the private sector, such as representatives of major fishing, farmer, processing and trading organizations.
National Emergency disease Planning Officer
A National Emergency disease Planning Officer (NEDPO) should be appointed. this officer should be a senior officer in the relevant department with training in epidemiology and wide field experience in the management of disease control programmes. If circumstances warrant it, a small unit of professionals should also be appointed to assist the NEDPO.
The planning officer would be both the adviser to, and the executive officer of the National Emergency disease Planning Committee, and would be actively involved in all NEDPC programmes itemized above.
Aquatic animal disease emergencies as a component of the National disaster Plan
Most countries have well-developed national disaster plans. these allow essential government and non-government services and resources to be rapidly mobilized in response to a disaster. Such plans may also allow these essential services to be given special powers to act in the emergency. the national disaster plan is usually aimed at specific natural disasters of an emergency nature such as major fires, floods, hurricanes, earthquakes and volcanic eruptions.
A strong case can be made for the official recognition of a disease emergency as a defined natural disaster situation that can be incorporated into the national disaster plan. An epidemic of an emergency aquatic animal disease, for example, has the same characteristics as other natural disasters: it is often a sudden and unexpected event, has the potential to cause major socio-economic consequences of national dimensions and even threaten food security, and requires a rapid national response.
EARLY WARNING
The aim of early warning is to rapidly detect the introduction of, or sudden increase in the incidence of any disease of aquatic animals that has the potential of developing to epidemic proportions and/or causing serious socio-economic consequences. It embraces all initiatives, mainly based on risk analysis and disease surveillance that lead to improved awareness and knowledge of the distribution and behaviour of disease outbreaks (and of infection) and which allow forecasting of the source and evolution of the disease outbreaks and the monitoring of the effectiveness of disease control campaigns.
Risk analysis
Risk analysis is something that we all do intuitively in our everyday life as well as in our professional work. Only recently has it developed into a more formal discipline and is increasingly used in many fields of endeavour. In aquatic animal health, it has perhaps been most widely applied in international trade to evaluate disease risks associated with imports. Import risk analyses are used in reaching decisions as to the most appropriate health certification and quarantine and other measures to be applied for imports into a particular country to produce an acceptable level of risk.
Risk analysis is a tool that can also be used to good advantage for animal disease emergency preparedness planning. International standards for import risk analysis are contained in the Aquatic Animal Health Code of the World Organisation for Animal Health (OIE, 2004) and a regional manual has recently been finalized (Arthur et al.,2004).
Disease surveillance
Disease surveillance should be an integral and key component of all government aquatic animal health services. this is important for early warning of diseases, planning and monitoring of disease control programmes, provision of sound aquatic animal health advice to farmers, certification of exports, international reporting and verification of freedom from diseases. A comprehensive disease surveillance system provides a reliable picture of the health status of aquatic animal populations on an ongoing basis. It is particularly important for animal disease emergency preparedness.
Figure 2 provides a conceptual summary of the relationships among the broad components of a surveillance programme. this figure incorporates the OIE Code concepts of providing an effective surveillance infrastructure as well as including a description of host population and environmental characteristics.
FIGURE 2
Relationships among different components of a surveillance programme incorporating OIE Code concepts

EARLY RESPONSE
Early response is identified as all actions that would be targeted at rapid and effective containment of, and then possibly elimination of an emergency disease outbreak, thus preventing it from turning into a serious epidemic. there are three broad policy options for responding to emergency diseases; the option chosen for any particular disease will depend on many different factors. It may also be possible to use a combination of options in some instances. the options are:
Contingency plans
Countries need to have in place well-documented contingency action plans for specific, high-priority emergency diseases, together with a series of generic plans for activities or programmes common to the various specific disease contingency plans (e.g. setting up national and local disease control centers). they also need to have resource and financial plans and proper legislative backing for all actions. these contingency plans need to be considered and agreed upon in advance by all major stakeholders, including the political and bureaucratic arms of government and the private sector, particularly farmer organizations. the contingency plans should be refined through simulation exercises and personnel should be trained in their individual roles and responsibilities. the components of a contingency plan are shown in Box 1.
The relationships among the different contingency plan components are shown in Figure 3.
Operational capability
Developing and maintaining an operational capability to effectively and efficiently deal with emergency disease events is a major and continuing challenge. It is simply not possible to be prepared for all possible contingencies, but countries should aim to have an immediate capability for small to moderate outbreaks. the emphasis should be on having key personnel who are well trained and stakeholders who are responsible and aware of the nature of emergency diseases. the capability of different components of the system should always be subject to testing and review.
| BOX 1 Components of a contingency plan. |
| Summary document |
| Technical plans |
|
| Support plans |
|
| Operational capability |
|
Response management
Manuals should be prepared that provide a management structure and an information flow system for the handling of an emergency disease emergency at national and local levels. It should describe the operations of control centers, providing principles for the chain of command, functions of sections and role descriptions. Management manuals may be prepared for:
Diagnostic resources
Once the particular disease has been recognized as an emergency, the capability to make both presumptive field diagnoses with subsequent confirmation in the laboratory must be available. For disease threats that are a high priority, this capability must be in place in advance of disease outbreaks. the initial diagnosis will need to be confirmed in a laboratory, possibly even an international reference laboratory. For large outbreaks, it may not be possible to confirm the field diagnosis on every occasion once control and eradication measures are underway.
Field resources
to respond effectively to an emergency disease, personnel with a range of skills and experience are required. these include persons with the ability to undertake thorough disease investigations, tracing of animals and products and supervise operations on infected premises.
Training
All staff should be thoroughly trained in their roles, duties and responsibilities in a disease emergency. Obviously more intensive training will need to be given to those who will be in key positions. It should also be borne in mind that any staff member, from the Responsible Officer downwards, may be absent or may need to be relieved during a disease emergency for one reason or another. Back-up staff should therefore be trained for each position. training of aquatic animal health staff in early recognition of emergency diseases and collection and dispatch of diagnostic specimens is a key component of preparedness.
Awareness and education
This is one of the most critical, but sometimes neglected, aspects of preparedness planning for emergency diseases, and for fostering “ownership” and support for emergency disease control/eradication campaigns from farmers and other key stakeholders. It also engenders a “bottom up” approach to planning and implementation of disease control programmes, to complement the more traditional “top down” approach usually adopted by governments.
The communication strategies should aim to make stakeholders aware of the nature and potential consequences of important diseases and of the benefits to be derived from their prevention and eradication. Furthermore they should always have an element of rallying the community to the common cause of fighting a disease epidemic.
If at all possible, professional communicators and extension experts should be enlisted to help design and carry out awareness and publicity campaigns. Optimally, personal visits and discussions with farming and fishing communities, processors, traders etc are preferable, but media outlets such as newspapers, radio and television can reach a large target audience quickly. Radio programs have proven to be a very effective method for spreading the message. these should be broadcast at times of the day when most farmers could be expected to be listening to the radio - this may be early in the morning or at night.
FIGURE 3.
Relationships among
different components of a National Aquatic Animal disease Contingency Plan.

Response exercises
Simulation exercises are extremely useful for testing and refining contingency plans in advance of any disease emergency. they are also a valuable means of building teams for emergency disease responses and for training individual staff.
Disease outbreak scenarios that are as realistic as possible should be devised for the exercises, using real data where possible (e.g. for farm locations, populations and trading routes). the scenario may cover one or more time phases during the outbreak with a possible range of outcomes. However, neither the scenario nor the exercise should be overly complicated or long. It is best to test just one system at a time (e.g. operation of a local disease control center). Simulation exercises may be carried out purely as a paper exercise or through mock activities - or a combination of both approaches. At the completion of each simulation exercise there should be a review to identify areas where plans need to be modified and further training is needed.
A full-scale disease outbreak simulation exercise should only be attempted after the individual components of the disease control response have been tested and proved. Earlier exercises of this nature may be counterproductive.
RECOVERY FROM AN EMERGENCY DISEASE
The process of recovery following the successful eradication of an emergency disease involves verification and international acceptance of national disease freedom as well as rehabilitation of farming communities.
Verification and international acceptance of disease freedom
The first and most important aim is to ensure that the causal agent of the disease (and not just the clinical disease) has been eradicated. there have been many occasions in which eradication efforts have been stopped when the disease seems to have disappeared. However small pockets of active infection have been left to smoulder. these have again flared up as susceptible populations again build up. this negates expensive control programmes.
It is therefore vital that as disease control measures diminish towards the end of the campaign, there be a shift of emphasis towards active disease surveillance to detect any residual infection. If vaccination has been used, this should be stopped so that there is no masking of infection.
When it is believed that infection has truly been eradicated, a series of verification programmes should be carried out. An important aim of these will be to provide objective proof to other countries and the international community as a whole that the country has regained freedom from the disease. this will provide the foundation for export trade in animals and animal products to be restored and/or developed.
This may involve:
Reference should be made to the OIE Aquatic Animal Health Code for more specific guidelines on acceptable international disease freedom verification procedures for each disease.
Rehabilitation of farming communities
There will be a need to repopulate affected areas with disease-free animals, particularly if a “stamping out” campaign has been followed. the opportunity should be taken to introduce replacement animals that are not only free of the target disease but also of other important diseases. Consideration could also be given to upgrading genetic resources at the same time.
Special support mechanisms and programmes should be considered to allow affected farmers and farming communities to get back on their feet after a crippling disease outbreak. However, this could be regarded as a political rather than technical decision.
STAYING FREE
Lessons from the disease outbreaks and the campaigns to control and eradicate them should be learned so that the country will be in a better position to stay free of the disease and to respond more quickly and effectively to any further introductions.
A thorough review should be carried out while the events are still fresh in peoples' minds. this review should be led by the Responsible Officer and should include key representatives of both those involved in the disease control campaign (head office and local) and those affected by the disease outbreaks. Issues to be considered in the review include:
Further training programmes.
CONCLUSIONS
Having the capability to deal with emergency diseases involves a great deal of planning and training as well as having an appropriate level of resources mainly in the form of appropriately skilled personnel. Although a comprehensive capability in many countries will take a long time to achieve, foundations can be laid within the framework of whatever resources presently exist.
ACKNOWLEDGEMENTS
Material in this paper is consistent with the FAO Good Emergency Management Practices (GEMP) programme (www.fao.org/ag/AGA/AGAH/EMPRES/GEMP. htm), the OIE Aquatic Animal Health Code and the Australian emergency animal disease plans, AUSVETPLAN (www.aahc.com.au/ausvetplan/index.html) and AQUAVETPLAN (www.affa.gov.au/docs/animalplanthealth/aquatic/index.html).
LITERATURE CITED
Arthur, J.R., Bondad-Reantaso, M.G., Baldock, F.C. & Rodgers, C.J. 2004. Manual on pathogen risk analysis for the safe movement of aquatic animals (FWG/01/2001). APEC/DoF/NACA/FAO. 59 pp.
FAO/NACA. 2000. The Asia regional technical guidelines on health management for the responsible movement of live aquatic animals and the Beijing consensus and implementation strategy. FAO Fisheries technical Paper No. 402, 53 pp., Rome.
FAO/NACA. 2001. Manual of procedures for the implementation of the Asia regional technical guidelines on health management for the responsible movement of live aquatic animals. FAO Fisheries technical Paper No. 402, Supplement 1,106 pp., Rome.
OIE. 2004. Aquatic animal health code, 7th Edn, Office International des Épizooties, Paris.(available at www.oie.int)
Sharon E. McGladdery
Fisheries and Oceans
Canada, Aquatic Animal Health Office
200 Kent Street,
Ottawa, Ontario, K1A 0E6, Canada
[email protected]
Mary F. Stephenson
Fisheries and Oceans
Canada, Shellfish Health Unit
PO Box 5030, Moncton,
New Brunswick, E1C 9B6, Canada
[email protected]
McGladdery, S.E. & Stephenson, M.F. 2005. MSX disease emergency response: Canadian experience. p. 167–178. In: Subasinghe, R.P.; Arthur, J.R. (eds.). Regional workshop on preparedness and response to aquatic animal health emergencies in Asia. Jakarta, Indonesia, 21–23 September 2004. FAO Fisheries Proceedings. No. 4. Rome, FAO. 2005. 178p.
ABSTRACT
Canada has had several disease emergencies emerge in its aquatic animals. The first came in the early 1900s before recognition of disease and the need for control activities was clearly understood for aquatic animals. This set the foundation for Canada's aquatic animal health learning curve that has increased exponentially over the last 20 years as aquaculture activities have intensified and diversified into new species and environments. The earliest Canadian aquatic animal disease case-history is presented, along with Canada's most recent experience in 2002 with the first-time detection of the oyster disease MSX, caused by the microscopic parasite , and a reportable disease listed by the World Organisation for Animal Health (OIE - Office International des Épizooties). Both are discussed in the context of theory and reality in dealing with aquatic animal disease emergencies that span multi-stakeholder interests and governmental jurisdictions.
INTRODUCTION
Canada has a long history of experience with aquatic animal disease management dating back to the 1915 emergence of Malpeque disease in oysters in Prince Edward Island (PEI). In the 1970s, Canada developed fish health protection regulations to provide health certification for the developing salmonid aquaculture industry. Parallel work was conducted with the International Council for the Exploration of the Sea (ICES) on wild fish diseases, on the management of outbreaks of infectious salmon anaemia (ISA) in the 1990s in New Brunswick and infectious haematopoietic necrosis (IHN) in Atlantic salmon in the Pacific, and on the study of aquaculture-wild disease interactions; up to Canada's most recent biosecurity challenge, returning once again to the oysters of Atlantic Canada, with the emergence of MSX disease caused by the protistan parasite Haplosporidium nelsoni.
The evolution of Canada's federal approach to aquatic animal biosecurity measures is based on these experiences and the increasing recognition of the need to be proactively prepared. The odds against successful disease eradication from open- or flow-through systems are low, but proactive response plans provide some assurance that the odds for a successful outcome are optimized.
CANADA'S INTRODUCTION TO AQUATIC ANIMAL HEALTH MANAGEMENT - MALPEQUE DISEASE
Canada's first experience of a significant aquatic animal disease pre-dates modern aquatic pathology, and aquaculture by almost 60 years. Mass mortalities of Eastern (American) oysters (Crassostrea virginica) occurred in Malpeque Bay, one of the major oyster-producing beds on Prince Edward Island (PEI) in 1915 (Needler and Logie, 1947). However, the mortalities were not recognized as being due to an infectious disease until it spread to neighbouring oyster beds on PEI via transplant activities in the 1930s. At this point, the disease became known as Malpeque Bay disease. Although the causative agent was not determined, the disease was reported to the Royal Society of Canada by Needler and Logie (1947) with the explanation: “…this account is presented because of the rarity of recorded cases of mortalities in the sea attributable to contagious disease”. Ironically, the now internationally renowned “Malpeque oyster”derives its name from the same bay and from the survivors of the original Malpeque disease outbreak and 57 years later, mortalities in the sea caused by contagious disease are by no means rare.
Anecdotal evidence suggests that Malpeque disease may have been introduced via a massive transplantation of healthy oyster seed from New England in 1913–1914 (R.E. Drinnan, unpublished data). This was to help restore overfished oyster beds in Malpeque Bay. The first losses of over 99 percent of market-size oysters in Malpeque Bay occurred 12–18 months following the transplant. The fishery in the bay was closed and fishing effort moved to neighbouring oyster beds. Between 1935 and 1937, the oyster stocks in Malpeque Bay recovered to a level where they could be commercially fished again, and seed were transplanted into neighbouring bays. Malpeque disease re-emerged, virtually wiping out the remaining PEI oyster fishery, and indicating that an infectious agent was being carried by the apparently healthy oysters from Malpeque Bay. The first Canadian aquatic biosecurity control measure was put into place - a complete prohibition of any oyster transfers out of PEI (Needler and Logie, 1947).
By the mid-1950s, the PEI oyster beds had again recovered, and the first lesson in biosecurity risks was learned: human memory can rarely keep disease risk in perspective when high-risk stocks appear healthy. The jump of Malpeque disease from PEI to mainland Atlantic Canada in 1957 is attributed to unsanctioned transfers of oysters for processing in southwestern New Brunswick.
The response to this emergency was one that would attract strong debate today. Spread of the disease to neighbouring New Brunswick and Nova Scotia oyster beds was considered to be unpreventable because of southern Gulf of St. Lawrence hydrography and an inability to differentiate healthy carriers from uninfected oysters. Therefore, Malpeque disease-tolerant oysters from PEI were actively spread throughout the southern Gulf of St. Lawrence (Found and Logie, 1957; Drinnan, 1967). This was considered to be the most effective way of accelerating recovery of oyster stocks that were inevitably going to succumb to the disease.
This strategy worked, and the southern Gulf of St. Lawrence now produces ~7000 tonnes of healthy, Malpeque disease-tolerant oyster populations, worth approximately CAD$ 10–15 million. Clinical signs of the disease are rare, and only naïve stocks from neighbouring Cape Breton waters (transplanted for experimental purposes) succumb to the disease, usually within 12–18 months (McGladdery and Stephenson, 1999, McGladdery and Bower, 1999).
Many organisms and aetiologies have been attributed to Malpeque disease (Li et al., 1980), with current research indicating a possible cryptic viral or microcellular protistan aetiology (McGladdery and Bower, 1999); however, the causative agent has defied conclusive identification. Furthermore, the single generation inheritance of tolerance in offspring of the few survivors of initial exposure and the lack of a microscopically evident or culturable microbial agent have both complicated understanding of the disease. Recent transmission experiments, however, have demonstrated that the causative agent remains virulent for naïve oysters 40 years after the last clinical outbreaks (McGladdery and Stephenson, 1999). These transplant experiments, however, were abruptly halted in 2002 when MSX disease (caused by Haplosporidium nelsoni) was detected for the first time in oysters from inner Cape Breton waters.
In conclusion, Canada's introduction to aquatic animal health biosecurity is founded on an aetiological mystery.
EIGHTY-SEVEN YEARS LATER-MSX: AN EMERGENCY PREPAREDNESS CASE STUDY
The model contingency plan
In September 2002, a joint Fisheries and Oceans Canada (DFO) - Canadian Food Inspection Agency (CFIA) presentation was made at the Aquaculture Association of Canada's annual Aquaculture CanadaOM meeting, in Charlottetown, PEI.1 A model contingency plan for a disease listed by the World Organisation for Animal Health (OIE - Office International des Épizooties OIE) that would pose a serious threat to a commercially significant species in Canada was presented. This was aimed at defining roles, responsibilities and resource requirements to address a disease emergency within the context of Canada's proposed National Aquatic Animal Health Partnership (NAAHP).
The model chosen was MSX disease of eastern oysters (Crassostrea virginica). This was considered to be a “worst case scenario”because detection of light infections is difficult using routine screening techniques (light microscope histology), mechanism(s) of transmission are unknown, and infections affect cultured and wild oyster populations. In addition, oyster production spans federal and provincial authorities, First Nations' traditional food fisheries, commercial fisheries, licensed aquaculture lease-holders, processing plants and brokerage operations, and roadside/retail marketer activities. In summary, control of MSX, if detected in open-water oysters, would be extremely “problematic”and involve a wide diversity of stakeholder interests.
Meanwhile back at the lab
Oyster samples from St. Patrick's Channel, Bras d'Or Lake (Figure 1), submitted to the DFO Shellfish Health Unit in Moncton due to reports of increasing levels of mortality over 2002, revealed plasmodia-like inclusions that had not been found previously in Canadian oysters. The high levels of infection (prevalence and intensity) along with intense haemocyte infiltration indicated that this was the likely cause of the mortalities being reported.
Histopathology samples were immediately sent to the Pacific Biological Station (PBS) in Nanaimo, British Columbia, and the Oxford Maryland Cooperative Laboratory. Histopathology and tissue samples preserved for molecular analyses were also sent to the OIE reference laboratory at the Virginia Institute of Marine Sciences (VIMS), Williamsburg, Virginia.
FIGURE 1
Cape Breton, Nova Scotia and area where MSX was first
detected

A working contingency plan
Initiation of the plan prior to diagnostic confirmation
The model contingency plan outlined at the Aquaculture Canada meeting was converted to a working contingency plan prior to official confirmation of the diagnosis. It contained actions required on “suspicion”of infection as well as those required on confirmation (or negation) of the diagnosis.
A critical first step was the appointment of a senior manager to compile the emergency response team (the MSX Task Group) and coordinate all activities. This person was selected on the basis of their knowledge of the industry and given the authority to make decisions and discuss options and recommendations directly with senior management (DFO regional and national management, as well as provincial aquaculture managers). The MSX Task Group consisted of key DFO and provincial personnel and was tasked with:
preparing information for the public and for media communications.
This senior DFO coordinator was essential for permitting science expertise to concentrate on development of appropriate surveillance programmes and laboratory analyses protocols.
Conversion from suspect to confirmed diagnosis
As soon as MSX was confirmed by the OIE reference laboratory for molluscan diseases at VIMS, the Chief Veterinary Officer (CVO) for Canada was notified. The Office of the CVO immediately prepared an advisory note that was sent to OIE Headquarters in Paris. The report provided the known geographic extent of infection, mortality levels being reported, the contingency plan, and surveillance plans for delineating the exact geographic extent of the distribution of MSX in Canadian oysters. This advisory made Canada positive for MSX until the emergency surveillance could demonstrate which oyster stocks were not infected (Stephenson and McGladdery, 2002).
This model contingency plan doubled in size over the period of October 2002 to February 2003 from a six page document to the current plan, as results and tracking of stock movements evolved. Revisions are ongoing as results from positive, buffer and negative zones (established following the emergency targeted surveillance programme) continue to emerge.
Consultation and containment
A meeting was arranged close to the affected site with Cape Breton oyster growers, First Nations, and provincial and federal fisheries and seafood authorities. An overview of what was known about MSX was presented and the possible scenarios for introduction of the disease were discussed. This was considered to be an essential first step in getting to know the local faces involved and letting them know who the emergency response team were. It was also an important discussion for putting the outbreak into a socio-economic as well as epidemiological context. The history of who was working with whom, and moving which stock where, was an essential foundation for developing the surveillance programme required. It was also useful for identifying key stakeholder representatives to participate in the plethora of conference calls required to keep as many key people informed in as timely a manner as possible.
Based on an absence of evidence that MSX had been present historically (DFO surveillance of oyster mortalities since the 1930s), the hypothesis was of a recent introduction; however, surveillance data were needed to determine if this was linked to a point-source or to a wider-spread introduction. The appearance of MSX within the Bras d'Or Lakes system, which is more or less completely land-locked, suggested a link to human activities rather than climate change or oceanographic influences. Further, the known affected area is adjacent to a mining operation using cargo vessels carrying ballast from the eastern United States where MSX is endemic. Although the high mortalities and lack of historic evidence of infection were indicative of an exotic disease occurrence, this was considered insufficient alone to negate the possibility of a historic presence, especially of subclinical infections or unreported/unobserved oyster mortalities. An attempt to eradicate MSX from the affected sites was also discussed, but considered premature until the actual extent of infection was better known.
Pending collection of more data, it was important to contain spread from the known affected areas and areas that had direct oyster transfer links. Since the detection coincided with the peak period for harvest for the Christmas market, control of these activities was a priority. The commercial fishery was already closed for conservation purposes, so the only harvesting activity was by lease-holders and First Nations. Fisheries and Oceans and the Nova Scotia Department of Agriculture and Fisheries (NSDAF) agreed to withdraw harvest licenses and develop protocols that would permit oysters that were fit for market to be harvested safely. On finalization, these Harvest Protocols were posted on the DFO website to permit public access (www.dfo-mpo.gc.ca/science/aquaculture/msxdisease/msx_handle_e.htm). First Nations voluntarily stopped their food fishery for oysters.
Preparation of an emergency surveillance programme
Using the information on hand, surveillance was aimed at determining how far the disease could have spread outward from the known infection area. Surveillance priorities focused on current and recent oyster transfers within and out of Cape Breton waters. Transfer pathways into the southern Gulf of St. Lawrence and to PEI in the previous two years for live-holding, processing or depuration relay were also identified. Neighbouring provinces were alerted and included in surveillance collections.
As “controls”for possible transfer-activity related MSX spread, oyster samples from areas with no direct contact with Cape Breton oysters were included in the surveillance programme. Lastly, mussels (Mytilus edulis) close to oyster beds known to be positive for MSX were also included. This was due to concerns about the potential for non-oyster transfers with other Cape Breton aquaculture-related activities, notably those of mussels where leases are located in the same bays as oyster beds or aquaculture operations.
FIGURE 2
Histopathological detection of MSX in eastern oysters
(Crassostrea virginica) from Cape Breton

Emergency surveillance: sample collection and analysis
Sampling procedures and collection design were developed by the NSDAF in consultation with the DFO Shellfish Health Unit at the Gulf Fisheries Centre (GFC). Sites in Cape Breton farthest away from the known affected sites were sampled first. Two teams of personnel trained by the provincial veterinarian visited a maximum of two sites per day, using on-site wet gear, boats and harvesting equipment. All materials transferred between sites by the collection team, including vehicles, were disinfected between sites. New Brunswick and PEI provincial fisheries and aquaculture authorities assisted with collections from their provinces. These collections extended into winter months, despite the challenge of remote winter travel and sampling at sub-zero temperatures through ice. The samples were examined by shellfish pathologists at the DFO laboratory in Moncton and PBS Nanaimo. Sample receipt, processing, histopathological screening (Figure 2), data recording and polymerase chain reaction (PCR) subsample analyses were undertaken in accordance with detailed guidelines prepared in advance by the GFC Shellfish Health Unit. Equipment was standardized to ensure that effort and results between different inspectors and analysts were consistent. This included microscope objective magnifications, the number of runs through automatic staining machines for optimal counter-stain contrast and the reagents used for DNA extraction from tissue homogenates for PCR and for in situ hybridization analyses.
Due to winter temperatures being associated with lighter levels of infection in oysters in endemic waters along the eastern United States, confidence in negative results from routine microscopic examinations was low - especially those collected from beds close to known positive sites or with direct links to affected sites. Tissue samples from all oysters for the initial emergency surveillance were preserved for PCR using sterile technique to prevent cross-specimen contamination, prior to collection of tissues destined for both light and electron microscopy.
Histopathological examination procedures were developed to ensure coverage of the greatest geographic range as possible for heavy/conclusive infections. Thus, 30 oysters from each sample of 60 were examined at low and low-medium magnification - considered sufficient to detect heavy infections. Once all samples had been screened at this level, all negative samples were re-examined at high-dry magnification for light infections that could have been missed at the lower microscope magnifications. A third examination was made by another pathologist on any subclinical or inconclusive infections, for confirmation purposes. Some inconclusive samples were also sent to the OIE reference laboratory and Dr Susan Ford of the Haskin Shellfish Research Laboratory at Rutgers University, who was invited to meet with Cape Breton stakeholders by First Nations early in November 2002 to provide a first-hand account of dealing with MSX in the United States.
The remaining outstanding 30 oysters from samples that were negative after the low and high-power sweep were examined to confirm the absence of MSX from the tissue examples submitted. Lastly, subsamples of tissues preserved in 95 percent ethanol from negative oysters, along with all oysters showing inconclusive plasmodia-like tissue inclusions, were examined using PCR.
Throughout each analysis stage, a central logbook tracked sample possession and sample step. Positive infections indicated a positive sample, but further analysis for prevalence and intensity was deferred until all samples had been analysed.
FIGURE 3
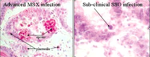
Classic MSX and sub-clinical SSO oyster infections

Communications and reporting of emergency surveillance results
Conference calls were held on a daily basis over the first few weeks while Harvest Protocols were finalized and surveillance collections were being made. Separate conference calls were needed for internal briefing of DFO (Ottawa and Area offices in Nova Scotia, New Brunswick and PEI); and for provincial and industry stakeholders. Up to five hours a day were spent ensuring everyone was briefed over October and November. The frequency of the calls was reduced over December and January to weekly and bi-weekly. Since March 2003, the calls have been limited to updates on results every few months or when new information is found.
The results from the initial emergency surveillance were completed in November 2002 and released according to a media communications plan. These showed two apparent levels of MSX infection. One was the classic MSX infection with plasmodial proliferation throughout the connective tissues and digestive tubules, some of which also showed spore development (Figure 3). These infections were found exclusively in oysters that had direct contact with the infected oysters in St. Patrick's Channel. A second type of infection, showing isolated plasmodia with no sign of proliferation or haemocyte infiltration response, was also detected. This was reported as “suspect MSX”, but since MSX PCR analysis of these infections was all negative, it was emphasized that they required further investigation. Negative PCR results had also been obtained from lighter MSX infections, so the possibility of false negatives as well as false positives needed further analysis. The significance of the suspect infections was that they were outside Cape Breton, but in oysters that had transfer links (direct and indirect) with Cape Breton oysters.
Tests performed using the PCR primer for sea side organism (SSO) disease of oysters caused by Haplosporidium costale, a close relative of the MSX organism, confirmed the presence of the SSO parasite in oysters from PEI and the north shore of Cape Breton outside Bras d'Or Lakes. These infections were all light (1–3 plasmodia per tissue section) (Figure 3) and had no obvious links to the MSX outbreak in Cape Breton. PCR analysis of the first samples submitted from Cape Breton in late September used both MSX and SSO primers. Since SSO was listed by the OIE as one of a number of “other significant diseases”for molluscs in 2002, this was also reported to the OIE as a new finding for Canada. This was given the caveat that none of the infections were associated with clinical disease.
Additional samples were collected overwinter from wild and cultured oyster beds in Cape Breton, Nova Scotia, southwest Nova Scotia, the Bay of Fundy and the southern Gulf of St. Lawrence (New Brunswick, PEI and the Magdalen Islands, Québec). The results from all analyses, plus those conducted in early spring 2003, showed no change in the geographic distribution of MSX, but added more areas with subclinical SSO infections (Figure 4).
Control options and considerations
Given the apparently limited distribution of MSX, the feasibility of eradication was considered. A potential window of opportunity existed for oyster depopulation at affected sites in early May 2003, following the spring thaw and before temperatures and salinities rose to levels conducive to MSX proliferation (> 10 °C). However, eradication was judged unrealistic given that:
the method of introduction of MSX into Bras d'Or Lakes was unknown.
The high potential for failure via unharvested oysters, unknown reservoirs, and the inability to prevent subsequent re-introduction of the infection if eradication was successful, meant this would not be worth the effort. However, the decision not to pursue depopulation meant that Bras d'Or Lakes became an MSX-positive zone, encompassing both positive sites and those sites that had not tested positive.
Control options based on this MSX-positive zone designation had to be developed. Firstly, all Introduction and Transfers Committees (ITCs) were notified of the need to refuse transfer licenses for oyster movement out of Bras d'Or Lake waters. This reinforced the controls in place through the Harvest Protocols, since Bras d'Or Lakes are a naturally contained water body, nestled at the center of the Cape Breton Highlands with a narrow northern passage to surrounding Atlantic waters (Figure 1). This natural geographic containment is conducive to management of active transfer activities. Federal surveillance efforts would concentrate on a designated buffer zone surrounding Cape Breton, to ensure early detection of any emergence of MSX outside Bras d'Or Lakes.
With respect to control of oyster movements within Bras d'Or Lakes, “like to like”transfer is considered an acceptable risk for disease management, but required regional surveillance effort, with coordination between DFO Area Offices in Cape Breton and the Nova Scotia Department of Agriculture and Fisheries (NSDAF). DFO's Shellfish Health Unit has provided diagnostic guidance to the Unama'ki Institute of Natural Resources at Eskasoni and the NSDAF veterinary pathology laboratory at Truro to assist with oyster disease management within Bras d'Or Lakes. Consideration was given to mass transplantation of infected stock around Bras d'Or Lakes, for the same reasons applied to the question of management of Malpeque disease in the 1950s - i.e. to accelerate spread of the disease and depopulate remaining naïve stocks. However, with no concrete evidence of tolerance in surviving oysters in Cape Breton and over 40 years of research yielding mixed results from selective breeding for resistance to MSX in the United States (Sunila et al., 1999, Ragone-Calvo et al., 2003), the control option was considered to be premature.
FIGURE 4
2002–2003 distribution of MSX and SSO infections in
Atlantic Canada

There also remained hope that the particularly severe winter of 2002/03 may have taken a natural toll on MSX, since 2003 proved to be the worst year in a decade for “winterkill”. This flooded the diagnostic laboratory with samples for analysis in light of MSX concerns, with no MSX detected until its re-emergence in oysters from Bras d'Or Lakes in the early summer of 2003.
No restrictions of introduction and transfers of live oysters or shell were developed for oysters in areas determined to be positive for SSO. Surveillance efforts mapped subclinical infections at very low levels of prevalence (< 5 percent) and intensity (< 3 plasmodia/tissue section), along with their apparent diffuse distribution in oysters from around Atlantic Canada (including a single co-infection found in Cape Breton). These infections appear to pose no clear risk to apparently uninfected oysters in Atlantic Canada. The molluscan histopathology collection at GFC will be examined to determine whether or not SSO was present in Atlantic Canadian oysters prior to 2002, but unrecognized until the PCR analyses of 2002/03. A haplosporidian was reported from a single mussel from PEI in 2002, but this showed no molecular affinity to either MSX or SSO (Stephenson et al., 2003).
One of the most challenging control debates centered on whether or not transfer restrictions should be applied to other species in the MSX-positive zone. This discussion is not new to Canada. Transfers of scallops from ISA-endemic areas and mussels from Malpeque endemic areas have been subject to similar debate. ISA screening of scallops used sensitive salmonid cell-lines. Malpeque disease risks from mussels used oyster “canary”sentinels. Neither proved positive for carriage of virulent infectious agents of the diseases of concern. However, mussel transfers were prohibited pending PCR analysis of mussels located near the most heavily MSX-positive oyster beds in late 2002, as well as in the summer of 2003. Neither these, nor samples examined from other locations in Cape Breton, showed any evidence of the presence of H. nelsoni or H. costale. Thus, no restrictions on movements of other molluscs out of the MSX-affected zone were made subject to normal conditions of transfer that include washing on site prior to transfer for processing, to reduce the risk of inadvertent transfer of fouling organisms (such as juvenile oysters) that might transmit these parasites.
Another control option that received detailed consideration was importation of resistant strains or species of oyster from the United States. However, physiological adaptation of a more southerly population to the growing conditions in Bras d'Or Lakes, along with concerns about introduction of other diseases, meant this option was considered premature.
Current status
The winter of 2002/03 was the hardest salt-water freeze-over experienced in Atlantic Canada for a decade. The spring thawing of the deep ice and snow cover reduced the salinities within the lakes to < 15 ppt until late into May–June in many bays. However, heavy infections were detected again in oysters from St. Patrick's Channel and other sites within Bras d'Or Lakes by June 2003. These infections have persisted into 2004.
No MSX has been detected in oysters sampled outside Bras d'Or Lakes waters. Thus, the remaining oyster-producing areas in Atlantic Canada are considered negative at the time of writing. Surveillance is being continued throughout Atlantic Canada, with emphasis on the buffer zone. All mortalities from these areas are examined for both MSX and SSO.
The controls put into place continue to restrict leaseholders to harvesting their oysters under stringent guidelines, although options have now been expanded to permit processing outside Cape Breton within a federally registered processing plant with effluent treatment controls. Signed agreement to these procedures is still required from both harvester and processing plant owner/manager. Marketing for direct human consumption is now permitted anywhere, including east of Québec City.
While the disease still exists, success in preventing spread is limited at best and vulnerable to ignorance or deliberate circumvention. Imposing restrictions on one sector of an industry with the significant economic impacts this incurs, while neighbours conduct business as usual, requires strong risk communication to avoid “mutiny”and non-compliance.
A post-mortem on the contingency plan: managing expectations
The technical aspects of the programme ran relatively smoothly, despite the emergence of SSO in the midst of the MSX-driven survey. The greatest problems arose (and continue to plague government) in managing expectations, especially those surrounding communications and the impacts that MSX controls have had on traditional oyster fishing and harvest practices.
Communications with the media, government departments and area offices, and senior management and with the laboratories involved centered on the two lead shellfish pathologists at the DFO Gulf Fisheries Centre (GFC). Despite strong coordination support from management, some stakeholders fell through the cracks. Initial focus was on Cape Breton and the principle affected lease-holders. On determining links to neighbouring provinces, they expressed concern that they had not been advised immediately. Likewise, the commercial harvesters were angry at not being included in the initial discussions, even though the fishery was closed. These would be considered to be oversights that need to be addressed in contingency plan revisions.
Another communication problem encountered was how to release results from the survey. Individual growers assisted greatly with the official collections and expected the Shellfish Health Unit to contact them individually as results were completed. Instead, it was decided to batch-release results, to permit DFO to prepare communications for senior managers, the media, the provinces and other stakeholders. This was seen as an unnecessarily stressful delay for the growers participating in the surveillance programme, and a lot of time was spent away from the microscope on the phone explaining the situation to individual growers, their family friends and neighbours! The historic accessibility of the shellfish pathologists, which served well in getting strong collaboration with initial harvest closures and surveillance protocols, was detrimental to the time needed for laboratory analysis. “Surge protection”for both communications as well as diagnostic work was considered to be a significant challenge that needs to be addressed for future emergency preparedness.
Batch results were released using a pre-agreed upon step-wise approach:
Release results to the media.
The hardest information to deal with was the inconclusive results in November. Ideally, these should not have been released, but pressure from government, industry and the media for follow-up to the October announcement of detection of MSX required as rapid a release of information as possible. The analyses undertaken were aimed specifically at detection of heavy (classic) infections and were given the strict caveat that no results were “truly”negative at this point. The detection of the cryptic plasmodial infections was unexpected. These could have been reported as “incomplete”rather than “suspect”, but the fact that they demonstrated previously undetected plasmodia and indicated a potential broader distribution requiring precautionary measures (as applied on suspicion of MSX) meant they were reported as “inconclusive”and “very different from the MSX infections in Cape Breton”. Expert opinion from the United States had confirmed that the plasmodia looked like MSX prior to the release of the results.
This conundrum was exacerbated by the fact that the PCR analyses were being field validated in the midst of the emergency surveillance. Inconclusive histology was reinforced by negative PCR. Experience from these analyses formed the basis for refinement of both the SSO and MSX primers recommended by the OIE.
As mentioned above, the shortage of experienced resources to cope with the “surge effect”generated by both laboratory and communication needs was a critical issue that needs to be addressed for any future disease emergencies. This is reflected in the three-phase surveillance approach that is being actively pursued by training more shellfish pathologists at local universities and the Unama'ki Institute of Natural Resources.
CONCLUSIONS
Canada's history of experience with Malpeque disease, as well as many other molluscan diseases on both coasts, served well in knowing the key stakeholders to involve. In addition, senior government management (federal and provincial) was quick to respond with support for the activities required. Likewise, the expertise from the United States, France and New Zealand all provided generous and invaluable support for technical discussions as well as review of risk assessments and control options.
The unknown issues that haunt molluscan health protection technically, epidemiologically and with respect to multi-user stakeholder interests also apply to new species (finfish, molluscs, crustaceans, echinoderms etc.) coming under increasing domestication and live transfer activities. It is hoped that some of the experience gained during this exercise is of use for the Koi herpes virus discussions in Indonesia.
ACKNOWLEDGEMENTS
Sincere thanks are due to many people who assisted during the course of the emergency response to MSX, including (but not limited to) Michelle Maillet, Anne Veniot, Susan Bower, Gary Meyer, Nancy Stokes, Eugene Burreson, Maurice Maillet, Gerard Blanchard, Brad Firth, Rene Lavoie, Dorothy Kieser, Gilles Olivier, Christiane Parcigneau, Dan Bedell, Pierre Gautreau, Janet Langille, Joan Reid, Allison MacIsaac, Charlie Dennis, Sheryl Denys, Roland Cusack, Andrew Bagnall, Lou Clancy, Darrell Harris, Crystal MacDonald, Florence Albert, Brian Muise and last, but not least, the grower whose diligent observations and open reporting helped detect this infection at an apparently early stage of its introduction into Canada and trigger as proactive emergency response as possible, Mr. James Crawford.
LITERATURE CITED
Drinnan, R.E. 1967. Rehabilitation of disease-depleted oyster populations in eastern Canada by large-scale transplants. International Council for the Exploration of the Sea C.M. 1967/E: 1–7.
Found, H.R. & Logie, R.R. 1957. Rehabilitation of disease-depleted oyster fisheries. Fish. Res. Board Can., Gen. Ser. Circ. No.29 (Biological Station of St. Andrews, N.B.), April 1959. 2 pp.
Li, M.F., Traxler, G.S., Clyburne, S. & Stewart, J.E. 1980. Malpeque disease, isolation and morphology of a Labyrinthomyxa-like organism from diseased oysters. International Council for the Exploration of the Sea C.M. 1980/F:15: 1–9.
McGladdery, S.E. &. Bower, S.M. 1999. Synopsis of infectious diseases and parasites of commercially exploited shellfish: Malpeque disease of oysters. (http://www-sci.pac.dfo-mpo.gc.ca/shelldis/pages/maldisoy_e.htm)
McGladdery, S.E. & Stephenson. M.F. 1999. Malpeque disease of American oysters (Crassostrea virginica) - transmission experiment results. Proceedings of the 9th International Conference of the European Association of Fish Pathologists, 19-14th September, Rhodes, Greece. P-008 (abstract).
Needler, A.W.H. & Logie, R.R. 1947. Serious mortalities in Prince Edward Island oysters caused by a contagious disease. Trans. Roy. Soc. Can. 41(2), Sect. 5: 73–89.
Stephenson, M.F. & McGladdery, S.E. 2002. Detection of a previously undescribed haplospordian-like infection of a blue mussel (Mytilus edulis) in Atlantic Canada. J. Shellfish Res. 21: 389 (abstract).
Stephenson, M.F., McGladdery, S.E., Maillet, M., Veniot, A.. & Meyer, G. 2003. First reported occurrence of MSX in Canada. J. Shellfish Res. 22: 355 (abstract).